Коловратка за едой. Биение ресничек (коловращательный аппарат) создает ток воды, с которым пища попадает в рот коловратки.


Яйца щитника.

Сферическая колония синезеленой водоросли Nostoc commune

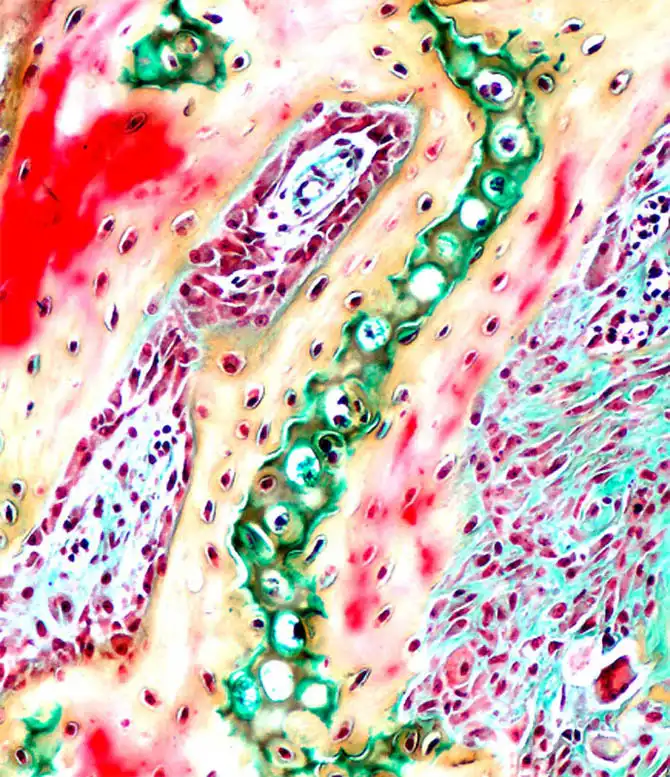
Развитие кости (оссификация) у птиц

Гиппокамп взрослой мыши: структура участвующая в процессах обучения и памяти. Пролиферация реактивной астроглии (бледно-желтая) в ответ на активность нейронов.

Неразвитый мышиный гиппокамп.

Морской планктон Petalotricha с выпущенными ресничками.

Малек форели на стадии вылупления из икринки.

Срез кости динозавра

Спорангий миксомицета (Craterium minutum)

Спорангий миксомицета (Physarum leucophaeum)

Кора мозга крысы: отростки астроцитов (желтые) оплетают кровеносные сосуды (красные). Ядра клеток голубые.

Яичник дрозофилы

Пресноводная гидра книдария (Halammohydra schulzei) длиной менее 1 мм.

Нейрональная культура

Деталь стручка Scorpius muricatus (Бобовые)

Бактерии

Идиобласт на поперечном срезе стебли водяной лилии (Nymphae alba)

Поперечный срез листа камыша (Juncus sp.)автофлоуресценция красным (хлорофилл на внешней стороне листа) и синим (сосудистые пучки)

Молодой спорангий миксомицета (Arcyria stipata)

Сперматозоиды дрозофилы

Два клопа-охотника (Nabis sp.) поедают (вероятно) тлю на листе норвежского клена (Acer platanoides).

Сосудистый пучок на срезе стебля бамбука (Fragesia sp.)

Сорус папортника Asplenium trichomanes
