uCrazy.Ru / Из пацана достали зубастого и мохнатого близнеца-паразита

Из пацана достали зубастого и мохнатого близнеца-паразита

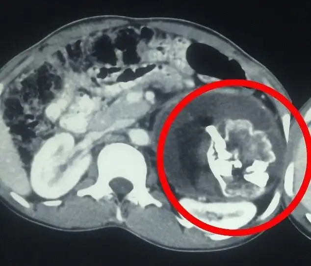
18-летний Нарендра Кумар с детства страдал всевозможными недомоганиями и потерей веса. Его родители были вынуждены обратиться к врачам, когда его состояние стало совсем скверным. Причиной тому оказался близнец-паразит с зубами и волосами, прятавшийся внутри пацана.










16 января 2016 00:10
Вернуться назад