uCrazy.Ru / Во что превратят ваши зубы 6 литров газировки ежедневно

Во что превратят ваши зубы 6 литров газировки ежедневно

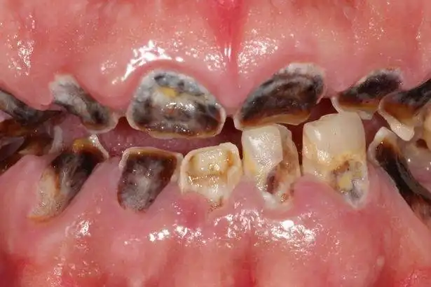
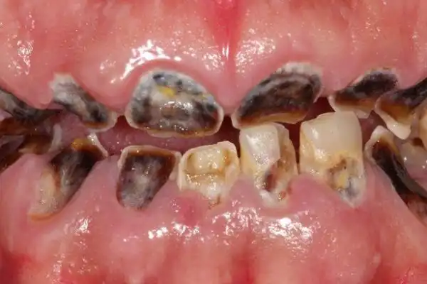
32-летний Майкл Шеридан - человек, который ежедневно употреблял по 6 литров газировки. Десять лет назад его начала беспокоить зубная боль, из-за которой почти все его зубы загнили и раскрошились. Майкл не мог укусить даже бутерброд, поэтому питался йогуртами и супами. Он с детства понимал, что когда-нибудь эта зависимость его подведет, и что у него не будет денег на дантиста. На счастье, о его проблеме узнал его товарищ, с которым вместе играли в водное поло - он оказался дантистом и бесплатно оказал Майклу услуги по замене 27 зубов на протезы. Для обычного человека счет составил бы порядка 50 000 евро. Сейчас Майкл рад новым зубам и готов начать все заново.










26 января 2018 00:31
Вернуться назад