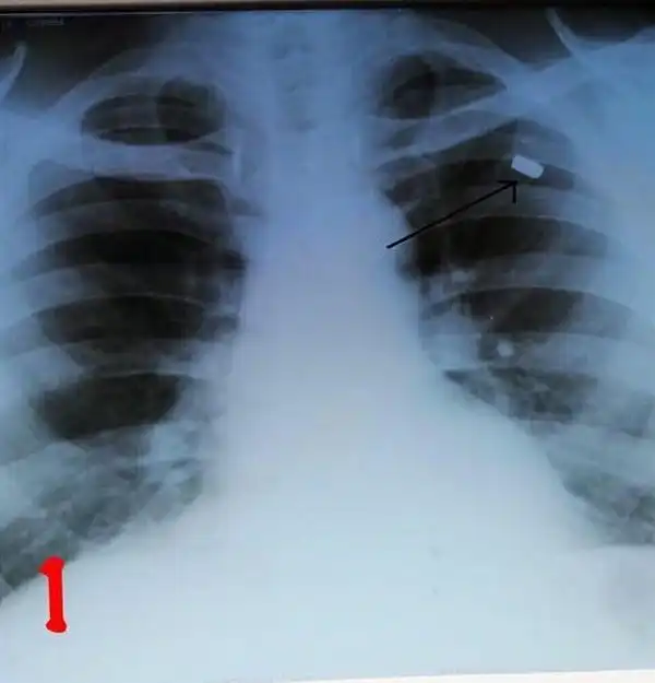
Врачи в Кабардино-Балкарии провели успешную операцию по извлечению пули из груди мужчины, который прожил с ней более 30 лет. По словам медиков, мужчина 1954 года рождения поступил в отделение с жалобами на ноющую боль в области груди, которая началась около месяца назад. Сделав рентгеновские снимки, медики обнаружили инородный предмет в грудной полости.
Как стало известно во время операции, инородным телом оказалась пуля. По словам медиков, она находилась в теле пациента уже более 30 лет, но начала создавать дискомфорт лишь некоторое время назад, когда сдвинулась с места.
Пациента уже выписали и отпустили домой. Каким образом пуля попала в тело мужчины, врачи не уточнили.





