В 1974 году легендарному фараону Рамсесу II был выдан действительный паспорт, чтобы, его 3000-летняя мумия была доставлена в Париж для реставрации.
Деформация бутылки на разных высотах
Невероятная сила владения телом. Вопрос один: как?
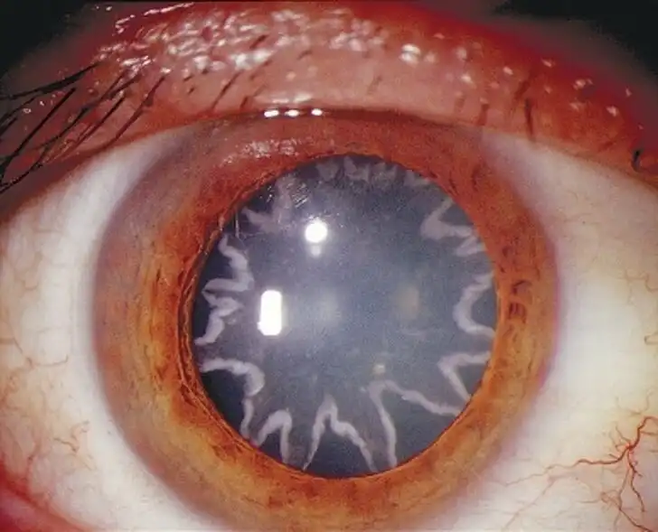
Электрик обратился с жалобами на ухудшение зрения спустя 4 недели после поражения электрическим током. Мужчина также испытывал боли в левой руке, через которую прошел удар. Доктора зафиксировали очень высокое глазное давление. На фото - глаз мужчины со звездчатым рисунком
До и после
Так выглядит путешественник, пешком прошедший через весь Китай. Кристоф Рихейдж начал свое пешее путешествие 9 ноября 2007 года, а закончил – в октябре 2008. Он прошел 4499 км от Пекина до Урумчи.
Так выглядят кучевые облака и закат солнца на высоте 9 144 метра (30000 футов)
Черепаха, проснувшаяся после зимней спячки
Жизнь одного листика
Отпечаток руки 8-летнего ребенка
Мальчик поиграл в саду - в чашке Петри "сад" бактерий, которые находились на его руке. Ребенка попросили коснуться рукой питательной среды - через время на ее поверхности выросли вот такие колонии.
Контейнер, в которой помещают младенца, чтобы сделать рентгеновский снимок
Глаза улитки

Периодическая система Менделева с образцами каждого элемента в офисе Билла Гейтса
Поверхностное натяжение

Так выглядит овца, которую не стригли 6 лет (слева)
Если снимать солнце с одного и того же места раз в неделю в течение года, можно получить аналемму - диаграмму, на которой будет видно движение светила по небу.
10-мегабайтный жесткий диск, 1960 г

Голая морская свинка
Самый маленький в мире городской парк, расположенный в Портленде, штат Орегон
2 миллиона лет в одном фото
Лапа белого медведя и мужские руки