1. Светодиодная лампа

2. "Так попугаю делают рентген. Птица живая и с ней все хорошо. Процедуру проводил ветеринар, и мы были там, чтобы помочь удержать нашего питомца"

3. "Судя по всему, в мозге моего сына есть маленький мальчик. И это не фотошоп"

4. "Моя маленькая пациентка согласилась сделать рентген только после того, как я пообещал сделать рентген и ее игрушечному пони"

5. Беременная черепаха

6. "Удалось по случаю сделать рентгеновский снимок моего шлема"

7. Королевский питон

8. Шариковая ручка

9. "Мой пирсинг под рентгеном"

10. "Мы сделали идеальную открытку на Хэллоуин"

11. Черепахи не находятся "внутри" своих панцирей. Они и есть эти панцири

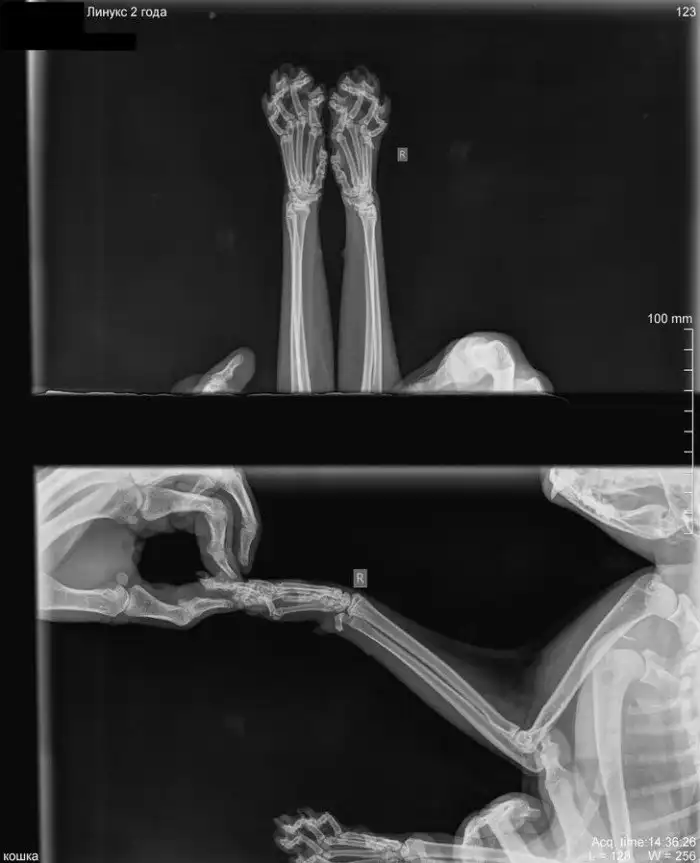
12. Так выглядит кошка под рентгеном

13. "Тройной пирсинг языка на моем рентгеновском снимке"

14. "Зубная фея должна мне много денег. Мне 33 года, и вот мои рентгеновские снимки, на которых видны оставшиеся молочные зубы"

15. Рентгеновский снимок пиона сорта "Пинк Гавайан Корал"

16. Беременная собака - внутри пять щенков

17. "Мой первый рентгеновский снимок на второй день обучения в колледже радиологии"

