
1. Человек в детстве случайно отрезал себе кончик пальца, а потом этот кончик отрос и даже стал немного больше

— Ого, я не знал, что такое бывает. А у вашего регенерированного пальца нормальная чувствительность к давлению, боли, теплу и холоду? Что с кровообращением?
— Всё как с обычным пальцем, кроме внешнего вида. Ну, возможно, он немного более чувствителен, если им на что-нибудь наткнуться, а в остальном никаких проблем.
2. У этого человека редкое заболевание, называемое синдромом Аксенфельда-Ригера, в результате которого в левом глазу три зрачка

— Как у вас со зрением? Вы хорошо видите или есть какие-то нарушения?
— Левый глаз почти слеп, с правым глазом всё в порядке.
3. Руки человека с «синдромом Марфана», наследственным заболеванием, поражающим соединительную ткань

— Риск получить перелом намного выше?
— Кости немного слабее, так что да.
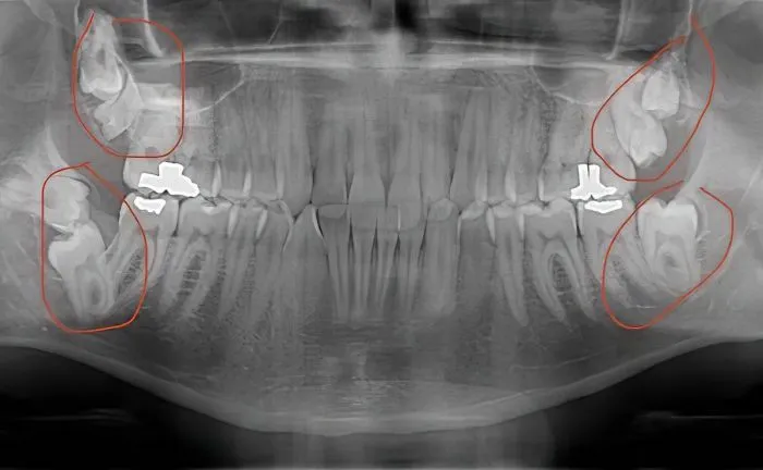
4. У человека было семь зубов мудрости. Ему их удалили. У большинства людей четыре зуба мудрости, по одному в каждом углу

— Если вам интересно, процедуру мне делали под наркозом. Но на извлечение зубов ушло 4 часа.
5. Постоянно расширенный зрачок — состояние, также известное как мидриаз. Может быть вызвано множеством различных факторов, включая травму (как в этом случае)

— Не снимайте пейнтбольную маску слишком рано.
— У меня было то же самое, когда мне в глаз влетел мяч, но через пару недель всё вернулось в норму.
6. Так выглядит феномен Рейно, который вызывает снижение притока крови к пальцам

— Да, очень похоже выглядят пальцы у людей с синдромом Рейно. Если ещё не были у врача, рекомендую.
7. И ещё один человек с феноменом Рейно, но он точно в курсе своего диагноза

— У меня синдром Рейно, и это происходит всякий раз после длительного охлаждения. Этот снимок был сделан после купания в Тихом океане.
8. Костный нарост (экзостоз) на нижней челюсти, так называемый нижнечелюстной валик

— Но зубы ровные, и то хорошо.
9. Первая суставная складка на безымянном пальце разгладилась после семи недель в шине... что может вызвать некоторую боль, когда нужно будет разрабатывать палец

— О, чувак. Сочувствую. Физиотерапия будет болезненной, знаю это из собственного опыта. Врач делала парафиновый компресс, а потом сгибала мой палец — и это был сущий ад. Придётся потерпеть.
— Эх, жаль. Я понимал, что будет некомфортно, но не думал о настоящей боли. Скоро узнаю, каково оно.
10. У этого человека редкая форма гетерохромии — оба глаза двухцветные

— Я не думаю, что мои глаза были с самого начала такими. Видимо, они изменились в процессе роста / полового созревания. То ли в организме сбой, то ли я просто странный. А вообще не слушайте меня, я ничего не знаю о глазах.
11. Человек показал, что умеет загибать пальцы вот так. Это похоже на синдром Элерса-Данлоса — заболевание, поражающее соединительные ткани, в первую очередь кожу, суставы и стенки кровеносных сосудов

— Почитайте про синдром Элерса-Данлоса.
— Поддерживаю. Я могу делать то же самое с пальцами, так же их загибать, и это была одна из вещей, которую врачи попросили показать им, когда диагностировали у меня СЭД.
12. Ребёнок, родившийся с лишним «пальцем»

— Похоже, это будет легко отрезать.
— Ага. Ему отрежут лишний палец и он не сможет стать одним из «людей X».
13. А это взрослый человек, который тоже родился с лишним пальцем (или пальцами, в данном случае), а теперь на их месте остались лишь воспоминания. И на их месте случается фантомный зуд!

— У тебя есть фантомный зуд в этих местах?
— Раньше, когда я была маленькой, был часто, теперь уже реже.
14. Это человек с наследственным заболеванием, при котором ни на одном из его пальцев рук (или ног) нет средних суставов

— Насколько хорошо вы контролируете верхние суставы пальцев?
— Кончики пальцев очень развиты. Думаю, не так, как для обычных рук. Мне приходится восполнять гибкость и силу, которой не хватает.
15. Человек пошёл к зубному с жалобой на боль и узнал, что у него есть лишние зубы

— Сверхкомплектные зубы. Надо было вылечить, когда ты был моложе, у тебя было бы больше возможностей. Это может передаваться по наследству.
16. Вены в форме идеального сердца на бицепсе

— Чувак, ты просто ко всем с открытой душой!
17. И, наконец, этот человек, руки которого отличаются одна от другой размером, формой и даже цветом

— Сегодня я впервые пошёл к врачу по этому поводу. Пальцы у меня всегда были узловатыми и немного кривыми, но за последние пару лет суставы на правой руке начали опухать и болеть при некоторых нагрузках. Становится хуже, поэтому я решил изучить проблему. Мой терапевт был очень обеспокоен и немедленно отправил меня на рентген. Я пишу сюда просто для того, чтобы немного поднять себе настроение.