
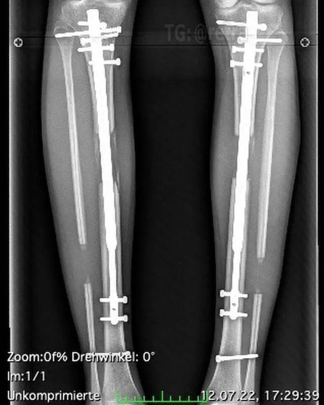
Процесс удлинения ног требует болезненной процедуры, при которой врач ломает кости в каждой ноге пациента и вставляет регулируемые телескопические стержни. В течение следующих трёх месяцев ноги постепенно удлиняются на один миллиметр в день, что в конечном итоге делает человека на несколько сантиметров выше. Операция также влечёт за собой длительный процесс восстановления с «непрекращающейся» болью из-за растяжения нервов, мышц и тканей ног.



