
1. «Это последствия укуса "черной вдовы"»

2. «В 2009 году спелеолог Джон Джонс застрял в пещере вот в таком положении вниз головой. Спустя 28 часов он скончался. Внезапно моя жизнь не так уж плоха»

3. «Вывихнул лодыжку в батутном парке (18 м)»

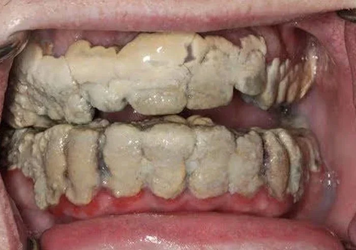
4. «Этот человек не чистил зубы 20 лет»

5. «Познакомилась с парнем. Вот так он живет. Что ж, бывали у меня свидания и похуже»

6. «Рада, что заглянула в унитаз, прежде чем сесть на него»

7. «В жареном рисе оказался огромный таракан»

8. «Я наступил на карандаш и он воткнулся мне в пятку»

9. «Я отвернулся на две минуты, и муха отложила яйца на моей пицце»

10. «У моего зуба длинные корни»

11. «Мой палец попал в гидравлический пресс на работе. Не знаю, почему у меня до сих пор есть палец. Ничего не сломано, просто смотреть неприятно и чертовски больно»

12. «Около 8 лет назад, на Хэллоуин, я пошла смыть грим, ухватила, как мне показалось, за комок туши на ресницах и потянула. Да, это был мой искусственный слезный канал»

13. «Только что вытащил это из уха своего пациента»

14. «Псориаз — это отстой»

15. «Уронил вилку и случайно на нее наступил. Было жутко, но после ее удаления все быстро зажило»

16. «Мой рентгеновский снимок после перелома спины»

17. «Кому-то надо чаще чистить уши»

18. «Очень сильное воспаление после удаления зуба»

19. «Мои щиколотки после 12-часовой танцевальной смены в клубе»

20. «Только представьте запах внутри машины...»

21. «Когда жильцы съехали и не вымыли холодильник»

22. «Следите за своей обувью, пока ее кто-нибудь не отжал»

23. «Пару лет назад я сломал руку, и вот как она зажила»

24. «Позвольте представить вам: мое запястье после ношения любых часов»

25. «Папа сказал, что у него побаливает спина»
