uCrazy.Ru / Удивительное в нас

Удивительное в нас

С помощью британских специалистов мы имеем возможность взглянуть на самих себя, так сказать, изнутри и весьма подробно.






интересно,что это?



Яйцеклетка (или как все начиналось)







Сперматозоиды на поверхности яйцеклетки (борьба не на живот, а на смерть)
— Я первый!
— Нет я!
(как мне это напоминает первые комменты в постах=))))






Шестидневный человеческий эмбрион
— Доктор, а на каком сроке беременности лучше всего восстанавливать девственность?







Эритроциты (красные кровяные тельца)
— Пончики!







Вкусовой сосочек (Ниро Вулф в миниатюре)







Бронхи
— Больной, ну-ка покашляйте... Да не на меня!







Легочные альвеолы
— Мышите-не-мышите.







Диск зрительного нерва
— Коллега, а я вас вижу.
— Аналогично.







Секущийся конец волоса
— Дорогой, ты не видел мой шампунь?







Карцинома (опухоль из клеток эпителиальной ткани)








Рак молочной железы (леди, будьте бдительны!)







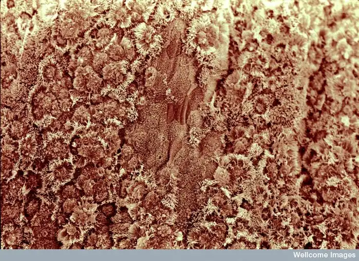
Ворсинки тонкого кишечника , вот что было на заставке=))







Кровеносный сосуд в меланоме (вариант опухоли из клеток эпидермиса)








Кохлеарный канал внутреннего уха (т. н. «кохлея» или «улитка»)
— Алло, барышня? Алло! Два-двенадцать... Жду.







Рак простаты (господа, следите за здоровьем!)







Разрыв кровеносного сосуда (хр-р-рясь!)







Сеть нейронов головного мозга
— Какие у него грязные мысли...







Сращивание костной ткани с помощью монетита (Monetite) — керамических кристаллов нанесенных на титановые штифты (используется для снижения риска отторжения искусственных материалов)







Эритроциты неправильной (вытянутой) формы


P.S. И последнее: вот, оказывается, чем жалится крапива:





17 марта 2009 16:38
Вернуться назад