
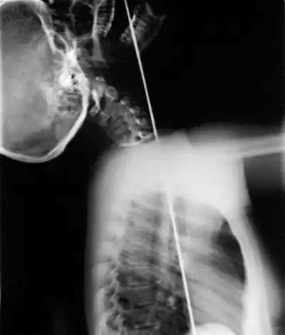
О человеке с так называемой военной выправкой и нарочито правильной осанкой злые языки скажут: он проглотил вертикальный несгибаемый предмет. Сразу представишь себе арматурный прут. И рентгеновский снимок военной выправки.
Такой:


В волшебном мире рентгеновских картинок полно таких, на которых изображены люди, проглотившие несъедобное. Дети глотают магнитики и гвозди, люди постарше — то, что на языке закона называют наркотиками и колющими/режущими предметами. И то, и другое взрослые глотают за деньги. К сожалению, профессия наркокурьера ныне востребована шире, чем ремесло шпагоглотателя. Но лет сто назад ни один приличный цирк не отказывал в работе людям, умеющим безбоязненно глотать и доставать из пищеварительного тракта мечи и шпаги — предметы, гораздо более жуткие для неловких, чем арматурный прут, с которого мы начали.

Из всех цирковых трюков прошлого и настоящего глотание мечей и шпаг — наиболее опасный. Это как если бы фокус «распиливание женщины» исполнялся вживую. Поэтому многие и многие зрители утешают себя тем, что шпагоглотание — это тоже фокус, надувательство, хоть и эффектное.

Между тем, трудно найти в цирк что-либо более реальное, чем шпагоглотание. В данном процессе нет ни фокусов, ни покусов. Проглатывание длинного колющего предмета требует танкового спокойствия, терпения, точности и бесконечной преданности делу.
Традиция глотания мечей, кортиков, шпаг, рапир и воровских заточек зародилась несколько тысяч лет тому назад. Первые упоминания о публичном самобичевании пришли к нам из древней Индии, где, глотая шпаги и мечи, фанатики-факиры демонстрировали простым людям и друг другу силу своей веры в разноцветных богов индийского пантеона.

Из Индии карнавальный номер перекочевал в Китай, удивительные экзотические шпагоглотатели также были востребованы древнегреческой и древнеримской цивилизациями. О людях, способных глотать без вреда для плоти металлическое оружие, пишут и в римских манускриптах 5-го века, и на китайских картинах 8-го столетия, времен династии Тан.

Примерно в X столетии от Рождества Христова искусство глотания мечей поселилось в Японии. В каждой труппе народного театра саругаку обязательно присутствовал как огнеглотатель, так и мечеглот. Их номера на праздниках мирских и религиозных шли в комплекте с выступлениями канатоходца, акробата-конторциониста и жонглеров. В 13-м веке вместе с кружащимися дервишами с Ближнего Востока шпагоглотатели объявились в католической Европе. За свое ремесло факирам доставалось от церкви — ловили и наказывали.
В Северной Америке пионером и популяризатором шпагоглотания в 1819 году стал артист-индус Рамо Саммее. Самый, пожалуй, знаменитый из индийских циркачей своей эпохи. На представления Рамо собирались полные залы досужего люду.

Ну а самым известным из американских глотателей меча стал артист Фред Маклоун, выступавший под псевдонимом «Шевалье Клико» с 1878 года по начало прошлого столетия. Господин Маклоун умели заглатывать-с до 19 мечей одновременно, или 22-дюймовый штык, или меч, утяжеленный гантелями. Учитывая то, что все перечисленные трюки были придуманы до него, отметим, что Шевалье Клико был первым в мире артистом, проглотившим светящуюся электрическую лампочку. Которая якобы продолжала гореть в его животе.


— Не надо аплодисментов, денег дайте! — было обычной профессиональной сценической репликой успешных циркачей века минувшего на заре оного. В Прекрасную эпоху хороший «карабас барабас» мог сделать так, что за каждое зондирование пищевода мечом глотатель не очень острых предметов получал кучу золота или кипу ассигнаций. Деньги эти зарабатывались действительно нелегким трудом, требующим высокого профессионализма и глубоких навыков.

Нет другого такого циркового номера, который бы требовал так много психологической и физической подготовки, как глотание шпаг и мечей. У нормального человека заглатывание чего-то длинного и неудобоваримого вызывает рвотный рефлекс. Это защита, которую шпагоглотателю надо снять в первую очередь, чтобы добиться остального своего. Рвотный рефлекс снимается в ходе работы с собственной психикой. Приходится немало посидеть над тазиком. Это некрасиво, потому почти все известные глотатели шпаг — одиночки и самоучки. Этому ремеслу нельзя научить, но можно научиться — при определенном складе характера.

После тренировок у шпагоглотателя притупляются ощущения в глотке и пищеводе. Циркач начинает учиться задирать голову так, чтобы глотка и пищевод уложились в прямую линию. Только при особенной, неповторимой осанке меч или шпага входит в пищевод, не касаясь чувствительных участков тракта, и даже в желудок фокусника.

При заглатывании клинок оружия проходит в миллиметрах от аорты, сердца и легких. Если шпагоглотатели получают травмы, то это обычно рваные раны и кровотечение во внутренних органах, продырявливание пищевода, легочной ткани и стенки желудка. Погибают шпагоглотатели чаще, чем укротители львов и воздушные гимнасты. Профессия, повторим, редкая, поэтому цифры не шокируют: с 1880 года из-за шпагоглотания только в США скончалось 29 несчастных циркачей.

Чтобы стать настоящим глотателем мечей, нужно вступить в Международную Ассоциацию. Вступительный экзамен такой: надо проглотить меч с шириной клинка 2 сантиметра и длиной 38 сантиметров.
А вот, к примеру, случай профессионального риска гибели. В феврале 2009 года китайский шпагоглотатель Ван Лиан чуть не помер в больнице после попытки проглотить и вынуть кривой меч. До этого без особых проблем на протяжении 8 лет Ван Лиан справлялся с прямыми мечами и шпагами. Надоело, потянуло на смертельный номер. После которого хирурги обнаружили в пищеводе циркача резаную рану длиной 1,5 сантиметра. Операция по спасению Лиана продолжалась 4 часа.

Мировой рекорд по «глубине глотки», то есть, пардон, длине заглатываемого острого предмета принадлежит дальней родственнице Верки Сердючки — Наташе Верушке из США. 29 февраля 2009 года, вскоре после фиаско китайца Ван Лиана, Наташа успешно заглотила меч длиной 58 сантиметров. Что зафиксировано в Книге рекордов Гиннеса.

Ну и, наконец, раскроем секрет не 100%-ной смертности среди глотателей и глотательниц шпаг и мечей. То, что они глотают, не имеет острых режущих кромок, иначе из-за травм смельчаки не доживали бы до первого выступления на арене.
