uCrazy.Ru / Разрушаем научные факты

Разрушаем научные факты

Интересная информация о различных мифах, которая полностью или частично их разрушает.

Большая часть алмазов образуется отнюдь не из уплотнённого угля. Они «рождаются» на глубине около 150 км, а залежи угля располагаются, как правило, на глубине около трёх километров.


Летучие мыши не слепые. Да, они ориентируются в пространстве при помощи эхолокации, но при этом довольно хорошо видят.





Блондины и рыжеволосые со временем не исчезнут. Рецессивные гены, что отвечают за цвет волос, могут передаваться из поколения в поколение и через не-блондинов и не-рыжих.





Волосы и ногти не продолжают расти после смерти. Такое впечатление возникает из-за того, что кожа умершего человека съёживается.





По цвету соплей нельзя определить, бактериальная болезнь или вирусная. Цвет этой субстанции может варьироваться от прозрачно-жёлтого до густо-зелёного у больных с самыми разными заболеваниями.





Чистая вода – не очень хороший проводник электричества. Причина, по которой человек может получить электрический удар через воду – содержание в ней минералов, грязи и других частиц, которые проводят электричество.





От лягушек и жаб нельзя подхватить бородавку, а вот здороваясь за руку с человеком, у кого есть бородавки – очень даже можно. Бородавки у людей возникают от папилломавируса, который бывает только у людей.





Страусы не прячут головы в песок, даже когда напуганы. Если они чувствуют опасность, то имеют обыкновение падать на землю и притворяться мёртвыми.





От недостатка кислорода кровь не синеет – напротив, приобретает более тёмный красный цвет. Вены просто кажутся голубыми, просвечивая через кожу.





От сахара дети не становятся гиперактивными. В ходе нескольких исследований выяснилось, что активность детей была одинаковой при потреблении газировки с содержанием и без содержания сахара.





Щёлкая суставами пальцев вы можете вызвать раздражение коллег по работе, но артрит не заработаете. Настоящие причины остеоартрита – возраст, травмы, лишний вес и генетическая предрасположенность.





Если продукт натуральный, это не значит, что в нём нет пестицидов. Однако уровень пестицидов что в органической, что не в органической пище слишком мал, чтобы беспокоиться по этому поводу (по крайней мере, в этом уверяет министерство сельского хозяйства США).





Стресс не играет большой роли в развитии хронической гипертонической болезни. Сильный стресс может вызвать временное повышение кровяного давления, но в целом он не бывает главной причиной гипертонии. Значительно бо́льшую роль играют генетика, курение и неправильное питание.





Молния может ударить в одно и то же место дважды. В некоторые высокие здания она бьёт до 100 раз в год.





Лемминги не совершают массовых самоубийств. Однако в периоды миграции они действительно иногда падают со скал, если местность им незнакома.





Человек не рождается со всеми извилинами, которыми обладает во взрослом возрасте. Существуют данные, что, по меньшей мере, в нескольких отделах мозга и во взрослом возрасте продолжается процесс образования нервной ткани.





Многие люди называют изображённого на этой картинке динозавра бронтозавром – даже Майкл Крайтон в «Парке Юрского периода». На самом деле это апатозавр. Миф про бронтозавра родился 130 лет назад, во время так называемых «Костяных войн», когда два палеонтолога использовали любые средства в соперничестве при поиске ископаемых.





Один ген – не то же самое, что один протеин. Многие гены образуют множество различных протеинов, в зависимости от того, как матричная рибонуклеиновая кислота (мРНК) гена располагается в клетке. Некоторые гены совсем не образуют протеинов.





Золотые рыбки обладают довольно хорошей памятью. Они могут помнить определённые вещи в течение нескольких месяцев.





Вероятнее всего, ВИЧ передался человеку не через половой контакт человека и обезьяны, а из-за того, что на обезьян охотились ради их мяса, что подразумевает контакт с кровью животных.





Собаки и кошки не различают оттенков серого. Зато они воспринимают разные оттенки синего и зелёного. Поле зрения у собак шире, чем у человека, но они не могут видеть так далеко вперёд, как мы.





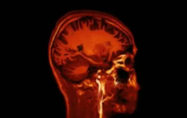
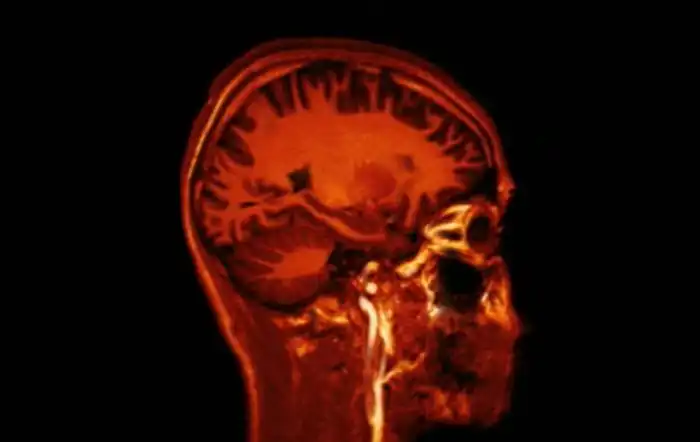
То, что люди якобы используют «только 10 процентов» мозга – неправда. Мы используем весь мозг – просто разные участки в разные периоды.





Только маленький процент страдающих синдромом Туретта непроизвольно выкрикивают бранные слова. На самом деле, эта болезнь может проявляться по разному – непроизвольными телодвижениями или разного рода тиками. Импульсивное произнесение вульгарных или нецензурных слов называется копролалия.





Ещё на заре Средних веков практически все учёные знали, что Земля круглая, а не плоская. Миф о тёмных людях Средневековья, которые были уверены в том, что Земля – плоский блин, запустили в 1940-х годах члены Исторической ассоциации (ведущее объединение историков в Великобритании).





Акулы болеют раком. Слух о том, что эти рыбы не подвержены онкологии, распустил Уильям Лейн, который продавал акульи хрящи как «эффективное противораковое средство».





Великая китайская стена – не единственное рукотворное сооружение, которое можно видеть из космоса. В зависимости от удалённости от Земли можно либо увидеть и Великую китайскую стену, и другие крупные структуры, либо не увидеть вообще никаких сооружений. С Луны, например, видны только огни Земли.





Никакой «фотографической памяти» не существует – только очень хорошая память. Но даже люди с исключительной памятью не могут воспроизвести визуальные подробности, способные сравниться с фотографией.





Излучение в микроволновой печи не может стать причиной ракового заболевания – оно просто греет еду. На самом деле рак могут вызвать только определённые виды излучения, но и тут всё зависит от дозы. Например, переизбыток солнечного света действительно может вызвать рак кожи, но если не переусердствовать с загаром, он только поможет организму в выработке необходимого ему витамина Д.





Сбривая волосы, вы не сделаете их толще, просто некоторое время они будут казаться грубее – это потому, что кончики волос не сужаются, как у отросших волос, а заканчиваются тупым срезом.





Это неправда, что проглоченная жевательная резинка будет перевариваться семь лет. На самом деле организму на это потребуется всего несколько часов.

8 июля 2013 08:40
Вернуться назад