Собираясь в отпуск и отправившись изучать путеводители в поисках возможных опасностей, мы видим бесконечные репосты и копипасту о разных акулах, кровожадных и охочих до ваших пят моллюсков, мурен и морских ежей, ужасающие истории об укусах тропических морских животных, кубомедузах-убийцах и португальских корабликах. Но что на самом деле опасней? Откройте статистику! С 1958 по 2019 год состоялось 439 нападений акул. А что насчет маленьких круглых червей, которые активно заселяют ваш организм после прогулок босиком по дикому тропическому пляжу? Анкилостомоз - 1,3 миллиарда человек. Что насчет инфекций и паразитов? Бактерий и вирусов? Их-то гораздо больше на нашей планете.
Давайте разбираться. С вами Креизи, и наш небольшой топ про смертельно опасные болезни с ближайшего пляжа. Род патогенных грамотрицательных бактерий Легионелл включает в себя таких знаменитостей, как Legionella pneumophilia и Legionella longbeachae, и ещё до 50 видов менее знаменитых красавцев. По большей части, все они живут в пресной воде в температуре около 37 градусов цельсия.
Болезнь Легионера получила свое название в честь первой задокументированной вспышки заболевания, произодшей в США в 1976 году. Дело было на сьезде Американского легиона - это пафосное название означает клуб ветеранов американской армии. Тогда в основе вспышки, наделавшей шума, была загнивающая вентиляция. Всего заболело 211 человек, 35 из них умерло. Но если вы не ветеран американской армии и не заседаете с боевыми товарищами в тухлом отеле, а отправляетесь румянить попку в сказочную страну "ол-инклюзив"? Где искать легионелл в отпуске?
Теплая пресная вода? Ммм... время для джакузи, горячего душа и бассейна с подогревом. Из воды бактерии попадают в частицы водяного пара, который мы, релаксируя, вдыхаем. Идея искать легионелл в курортных зонах достаточно свежая, эти исследования только-только набирают обороты и общественное внимание.
С 2005 по 2006 годы начавшиеся наблюдения показали одну интересную закономерность. Частота заболеваемости легионеллезом у путешественников несколько выше, чем у людей, не меняющих своего местонахождения. Если, например, взять США, то за эти годы каждый четвертый из заболевших легионеллезом был туристом или путешествовал из штата в штат. Вторыми и третьими по количеству заболевших выступают дома престарелых и больницы. Всего ежегодно в США госпитализируют от 8 000 до 18 000 человек с этим заболеванием.
Приблизительно та же история и в других регионах. К 2006 году анализ около 700 случаев заболевания в Италии, Испании и Франции показал, что около 80% заболеваний легионеллезом связаны с посещением отелей. Вода в южной Италии из случайно выбранных пляжных душевых оказалась заражена в 7 из 36 случаях L.pneumophila - наиболее распространенной разновидностью бактерий. Но если в домах престарелых и больницах это оппортунистическая инфекция, которой подвержены ослабленные или уже больные, то в отелях заболевают не прошедшие акклиматизацию, ослабленные алкоголем или сопутсвующими инфекциями отдыхающие. Главная проблема в том, что, начав болеть, бактерии мигрируют зачастую на другой конец земного шара, смазывая статистику.
При заболевании у вас, как правило, два варианта. Если повезет - мягкая форма, тогда вас ждет просто инфекция грудной клетки, получившая название Понтиакская лихорадка. Она проходит сама через два-четыре дня, не перетекая в пневмонию и имея симптомы быстро текущего ОРВИ. Более тяжелая форма инфекции как раз и известна, как болезнь Легионеров. По течению она очень похожа на серьезный случай пневмонии со всеми вытекающими последствиями. Достаточно длительный случай для того, чтобы уже улетели домой - инкубационный период до 10 дней сменяется жаром до 40 градусов, мощнейшей диареей, болями в мышцах и сухим нарастающим кашлем. Затем появляются боли в груди и острая дыхательная недостаточность, часто требующая респираторной поддержки. Легионеллы имеют огромный темный потенциал по нанесению нашему организму максимального вреда.
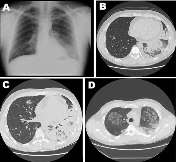
Легкие с прогрессирующей пневмонией, вызванной легионеллой:
Бактерия, попав в легкие, поглощается макрофагами, пытающимися её уничтожить, но увы, это и есть цель. По мере роста и размножения бактерия производит около 300 токсинов, что многовато даже для ящика Пандоры. Из-за них, помимо поражения легких, у больных начинается мощнейшая интоксикация всего организма. Со всеми вытекающими, буквально: диарея, рвота, рвота и диареия, судороги, инфекционно-токсический шок, почечная недостаточность. Легионелла имеет настолько высокий потенциал по развитию текущих 10% смертности, что ею давно интересуются военные - искусственно выведенные штаммы вроде L.pneumophila претендуют на 100% летальность, и остается только надеятся, что они никогда не выйдут в свет.
Ну да ладно, скажете вы, не будем плавать в тухлых бассейнах, будем плавать в море, соленое, чистое, ммм...
Любите плавать? Зуд пловца, или церкариальный дерматит - вот о чем стоит вспомнить в момент радостного сальто бомбочкой в ближайшую волну. На самом деле кожная сыпь это лишь тонкий аллергический намек на куда большие проблемы в виде некоторых паразитов, больше свойственных птицам и некоторым животным.
Собственно, церкариальный дерматит человеческим языком стоило бы назвать личиночный зуд, ведь церкарии это одна из форм существования паразитарных плоских червей. Но церкариальный дерматит звучит не так страшно, как личинки плоских червей под кожей?
Церкариальный дерматит может вызывать несколько родов шистосом. К примеру, род Trichobilharzia spp. (включая T.ocellata, T.brevis, T.stagnicolae, T.physellae, T.regenti и др.) или род Ornithobilharzia SPP., Austrobilharzia SPP, и ещё пара. Во всех случаях речь идет про паразитов птиц. Но это могут быть шистосомы млекопитающих, например Heterobilharzia americana, Bivitellobiharzia spp., Schistosomatium spp. Работает это всегда одинаково, а человек выступает в паразитарной цепочке размножения лишним.
Давайте посмотрим подробнее, например, на T.regenti. Взрослые особи обитают и спариваются в слизистой оболочке носа семейства утиных, десятки видов которых обитают по всей планете, во всех типах водоемов - это и гуси-лебеди, и нырки, и мандаринки. Паразиты прямо в утиной слизистой производят яйца с мирацидиями (капсула с безротой, но шустрой личинкой). Мирацидии с утиными соплями во время еды и питья попадают глубже в ткани утки, или вываливаются наружу. Во втором случае, попав в воду, они тут же начинают метаться и грести ресничками в поисках нового хозяина. Обычно это моллюски - Radix lagotis, Radix labiata, Radix peregra. Внутри улитки эта прелесть эволюционирует в церкарию.
Созревшие, свежие и бодрые церкарии прощаются с улиткой и отправляются на поиски конечного хозяина с симпатичным клювом в качестве будущего дома. По идее, после проникновения в кожу хозяина они должны трансформироваться в шистосомулу и отправляться искать периферические нервы, чтобы по ним добраться до спинного мозга, а затем в крохотный утиный мозг, откуда рукой подать до клюва. Здесь в носовой полости начинается всё сначала. Если вместо милой утиной лапки церкарии встретят ваши мозолистые ножищи, которые вы окунули в водоем, пугая рыбу и надеясь набраться сил на унылую осень, церкарии застрянут в эпителии, попав в ловушку вашего иммунитета. Будучи заблокированными в верхних слоях кожи, им ничего не останется, как повозившись сдохнуть, а вы лишь скрасите им их последние часы лихорадочными почесываниями.
Такой дерматит, или зуд пловца, встречается во всем мире и особенно актуален летом.
Насчет любителей плавать - мы с ними ещё не закончили! В большинстве случаев зуд пловца не требует медицинской помощи, так как личинки мрут, и ваше тело их утилизирует. Но есть вещи и поопаснее утиных историй.
Pseudomonas - распространенный род бактерий, встречающийся во всем мире в почве, воде и растениях. Скорее всего, его представители заселили даже ваши тела, и вполне неплохо себя чувствуют на ваших влажненьких плоскостях и округлостях, вроде подмышек и половых органов. О ком же это я? Ну вы наверняка слышали о Pseudomonas aeruginosa, этот товарищ весьма знаменит... Синегнойная палочка.
Большинство здоровых, физически развитых и активных людей при контакте с ней получат легкую кожную сыпь, ненавязчивый отит или скоротечную глазную инфекцию. Но если у вас уже были проблемы, и ваш иммунитет уже и без того занят легионеллезом из джакузи эконом-класса и утиными червями, пытающимися заселить ваше пьющее бренное тело, находящееся в состоянии отпуска, то такой контакт с синегнойным другом вполне может вас убить.
Прежде всего, нужно ответить на вопрос: "А с чего же она синегнойная?". Очень просто: она может вызвать абсцесс и она производит синий пигмент - пиоцианин. Он смешивается с желтоватым гноем и дает мерзкий зеленоватый цвет киношной мертвечины и иногда фруктовый запах. Но, на самом деле, это классический "инь и янь". Пиоцианин не только помогает выявить конкретно эту бактерию в гнойной ране или инфекции при диагностике, но и оказывает бактерицидное воздействие на её конкурентов, что позволило нам синтезировать из бактерии пару антибиотиков. Кстати, почти все они так или иначе были синтезированы у бактерий, конкурирующих и убивающих друг друга миллиарды лет. Мы сами ничего не придумывали.
Где подхватить? Вездесущие бактерии обитают в миллионах грязных, влажных и теплых мест. Это может быть старый бассейн, джакузи, грязная ванная комната, раковина в уличном ресторане, плохо помытые овощи и фрукты... Наиболее серьезные инфекции все-таки происходят в больницах, где pseudomonas прекрасно чувствует себя в увлажнителях и разного рода медицинском оборудовании, типа катетеров.
Что вас ждет при контакте? Это зависит от того, куда попадет инфекция. А pseudomonas может при должном невезении попасть в любую часть вашего тела, например в кровь, легкие, желудок или мочевыводящие пути. Или сухожилия.
Где на пляже искать синейгнойные бактерии? Там, где людно и животно. Согласно, например, исследованиям Лаборатории общественного здравоохранения Министерства здравоохранения в Тель-Авиве, с пляжей, расположенных вдоль Средиземного моря, были взяты 1598 проб воды. При этом P.aeruginosa была обнаружена в 222 пробах (14%). Плавание в таких местах с ослабленным иммунитетом может принести загноение ранки, воспаление глаза или прыщавую гнойную сыпь, но самое верное дело - грязная вода в ухе. Попав туда, она разжижит ушной секрет и обретет теплый и влажный дом. Если у вас всё нормально с ушной серой, то она создает естественный кислый барьер, непригодный для бактерий. Но этот барьер имеет свой ресурс. Если капать синегнойной жижей в ухо каждый день, купаясь в грязной воде, рано или поздно приключения вас найдут. Из-за того, что внешним отитом часто заболевают именно любители поплавать в не очень чистой воде, его также называют "ухом пловца".
Здоровое ухо и внешний отит:
Синегнойная ушная инфекция - одно из самых противных осложнений, которые можно получить. При наружном отите поражаются ткани наружного слухового прохода и ушной раковины. Воспаление и отёк поверхностных тканей может распространиться и привести к поражению кожи лица или шеи, лимфадениту, остеомиелиту височной кости. Подобные осложнения, классифицируемые как злокачественный некротический отит, встречаются у людей с сильно подавленным иммунитетом.
Следующий в моем персональном топе - Вирус Норуолк или вирус Норфолк, как вам больше нравится. Этот РНК-вирус - настоящий засранец из семейства калицивирусов (Caliciviridae). Он ждет нас чаще всего при загрязнениях еды и воды. Именно он виновен в 90 % случаев эпидемий желудочно-кишечных заболеваний небактериальной природы во всём мире. Вирусы передаются при прямом контакте с больным и гораздо реже фекально-оральным способом через заражённую еду, либо воду. Чаще всего вы могли встретить норовирусную инфекцию под загодочным названием кишечного или желудочного гриппа.
Как правило, Норфолк терроризирует круизные лайнеры и учреждения закрытого типа, вроде пансионатов или тюрем. Попав с едой к первому пациенту, в пределах одних двух суток он лесным пожаром разносится по организму, вызывая острую диарею и рвоту, почти мгновенно распространяясь от человека к человеку до тех пор, пока палубы на судне не опустеют совсем. Как правило, болезнь не опасна и самоликвидируется за 3-4 дня. У переболевших формируется иммунитет.
Больше всего шансов заболеть у вас при поедании морепродуктов, сырых или недостаточно термически обработанных моллюсков и устриц. Всего в год на планете заболевает до 685 миллионов человек.
На десерт оставили вам паразитов. Анкилостомы - род паразитических круглых червей подотряда стронгилид (Strongylida), живут в кишечнике, расковыривают стенки и питаются кровью. "Нафига нам эти черви?" - спросите вы. Ну да, конечно, португальский кораблик - король чартов вроде "20 самых ядовитых животных на земле" успевает за год ужалить до 10 000 человек, а всего два вида Ancylostoma duodenale и Necator americanus, по самым приблизительным оценкам, заражают от 576 до 740 миллионов человек в год. Пока вы опасливо шаритесь голыми пятками по пляжу в поисках медуз-убийц, вы с вероятностью в 74 000 раз больше заразитесь гельминтами.
Анкилостомоз известен давно и под многими названиями: шахтерская анемия, туннельная болезнь, кирпичная анемия, египетский хлороз. В отношении гельминтозов фраза "имя мне миллион" вообще часто играет самыми разными красками.
Заселение на борт обычно происходит в момент прогулки босиком по загрязненной почве. На месте проникновения личинок часто проявляется небольшая аллергическая реакция в виде красного чешущегося пятнышка. Из-за этой особенности анкилостомоз также называли "зуд земли". После проникновения через кожу личинки рвутся в кровоток, откуда несутся в легкие, где вы их откашливаете и глотаете.
Затем они мигрируют в кишечник, где и вызывают анкилостомоз. Одним из главных симптомов является железодефицитная анемия, проще говоря, из вас высасывают всю кровь, осушая, как пакетик с томатным соком. Если вы наступили на личинку собачьей анкилостомы или другого вида, не заточенного под нас, то вместо аккуратной точки входа появится змеевидная красноватая отметина. Это путь подыхающего червячка под кожей, который не смог справиться с вашей имунной системой и выжить в питательном организме.
К сожалению, многие патогены, вроде Легионелл и вируса Норфолк, начали изучать в средине 20-го века, не уделяя им должного внимания несмотря на пугающую статистику. Содержание душевых в коммерческом секторе, которые люди посещают лишь на короткий период, не подвергают настолько доскональным исследованиям, несмотря на то, что влияние на здоровье населения они оказывают весьма ощутимое. Аналогично происходит и с пляжами. Рекреационные программы в развитых странах регулируются государством, но что насчет развивающихся? Лазурный берег и, в лучшем случае, скромная табличка - опасайтесь медуз/акул/штормов/чурчхелы - лишь дают нам жалкую иллюзию контроля реального мира, которым правят вовсе не медузы, а микромир инфекционных патогенов, вирусов и паразитов.








