Как устроено наше чувство вкуса?
Поверхность нашего языка покрыта крошечными выпуклостями, называемыми сосочками, которые содержат наши вкусовые рецепторы, а также некоторые железы, которые помогают в создании и выделении слюны. Существует четыре различных типа сосочков, которые бывают разных форм и размеров и могут находиться в разных частях нашего языка в разных количествах. У большинства из них есть общие вкусовые рецепторы.
Наши языки могут иметь от 2000 до 8000 вкусовых рецепторов
Вкусовые рецепторы представляют собой комбинацию клеток - базальных, столбчатых (структурных) клеток и от 10 до 50 клеток вкусовых рецепторов, которые обновляются каждые 9-10 дней. Часть из этих рецепторных клеток содержат на своей поверхности белки, которые связываются с некоторыми химическими веществами, содержащимися в пище. Другие рецепторные клетки имеют ионные каналы, которые также могут быть активированы различными химическими веществами.
Как только рецептор обнаружил конкретное химическое вещество, эта информация передается по ряду нервных путей в мозг, где и воспринимается вкус.
Количество вкусовых рецепторов у людей может сильно различаться. Средний взрослый человек имеет от 2000 до 8000 вкусовых рецепторов. Не смотря на то, что вам, возможно, когда-то говорили в школе о том, что определенные области языка отвечают за определенные вкусовые ощущения - это не правда. Просто на языке расположены разные типы рецепторов вкуса, каждый из которых активируется различным набором химических веществ, чтобы вызвать различные вкусовые ощущения, которые мы испытываем.
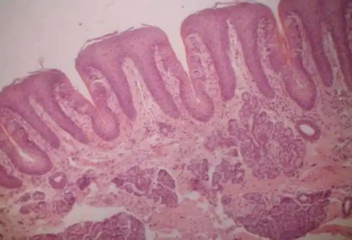
Микрофотография поперечного сечения некоторых сосочков на поверхности
Рецепторы сладкого, горького, кислого вкуса и вкуса «умами» (есть и такой вкус - чего-то мясного) - это белки, вырабатываемые и кодируемые определенными генами в нашей ДНК и обнаруживаемые на поверхности клеток. Они реагируют в присутствии определенных химических веществ, вызывая последовательность событий, приводящих к химическому сообщению, описанному выше. Солевой рецептор, называемый эпителиальным натриевым каналом, по сути, является мембраной, которая пропускает ионы натрия в определенные клетки нашего организма. Аналогичный механизм ионного канала также может быть вовлечен в обнаружении кислого вкуса.
Мы можем ощущать вкус не только языком
Но вкусовые ощущения возникают не только благодаря нашим языкам - также вкусовые рецепторы были обнаружены в горле и в кишечнике, хотя они действуют немного иначе, чем на языке.
То, как пахнет еда, также важно для нашего ощущения вкуса. Во время пережевывания пищи из еды высвобождаются летучие вещества, они попадают из задней части рта в нос, где стимулируют нашу обонятельную систему.
Запах и вкус тесно связаны между собой, и запах нашей пищи - это именно то, что дает нам конкретную информацию о ее вкусе. Вот почему простуда мешает людям наслаждаться едой. Когда у вас насморк, вы не можете полноценно ощущать запахи, это делает вашу еду практически безвкусной. Конечно, вы сможете определить горячее, соленое, кислое или сладкое, но полного ощущения вкуса не будет, так как ваше обонятельное чувство скомпрометировано.
Есть и другие ощущения, помимо вкуса, которые происходят во рту. Белок TRP-V1 активируется теплом - например, глотком горячего чая. Этот же белок такжеможет активироваться капсаицином (острый перец чили), пиперином (черный перец) и аллилизотиоциананатом (горчица). Белок TRPM8 запускается, когда мы едим холодные продукты, такие как мороженое, он также отвечает за ощущение холода, которое мы испытываем, когда мы едим продукты с ментолом, мятой или эвкалиптом.
Есть рецепторы, которые активируются, когда мы едим горячую или острую пищу.
Текстура и консистенция пищи, то как она ощущается у нас во рту также важно для того, как мы воспринимаем ее вкус и нравится ли он нам. Ученые потратили много времени на изучение реологии (текучесть веществ) и трибологии (как масла и жиры смазывают пищу и рот, когда мы едим), чтобы понять, как эти факторы влияют на пищевые предпочтения людей.
В итоге, то, как мы воспринимаем вкус, зависит от целого ряда различных факторов, от наших вкусовых рецепторов до наших генов.



