Это, непосредственно, сама Бриттани.
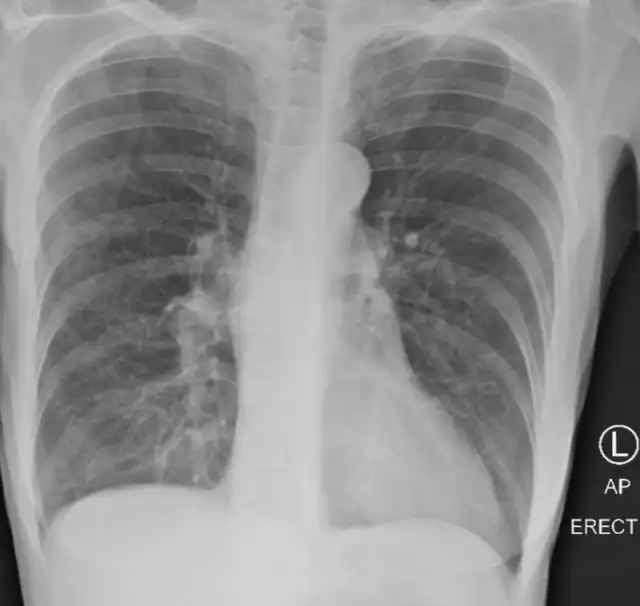
Так выглядят лёгкие здорового человека. Чёрные области - это воздух.
Это лёгкие курильщика.
А это - лёгкие человека, переболевшего COVID-19
Как рассказала доктор изданию NewsNationNow, белая "паутина" на снимке - это оставшиеся рубцы на лёгких. Невооруженным взглядом видно, что легкие после коронавируса выглядят намного хуже, чем легкие курильщиков. По словам врача, после COVID-19 отдышка сохраняется на долгое время, а также не исчезает риск появления тромбов и возникновения пневмоторакса.
Помимо этого, Бриттани Банкхед-Кендалл отметила, что даже если человеку кажется, что с его лёгкими всё в нормально, на рентгене может оказаться совершенно иная картина. Иногда проблемы остаются даже у тех, кто уже давно выздоровел, и они могут сохраниться на всю оставшуюся жизнь.



