Человек от природы существо любопытное — мы хотим знать всё и обо всём, включая, конечно же, наше собственное тело. Однако некоторые тайны лучше бы ими и оставались. Пользователи Reddit поделились самыми странными и жуткими фактами о человеческом теле, которые доказывают, что любопытство наказуемо.
1. «Желудочная кислота настолько сильная, что прожигала бы нас насквозь, если бы мы не выделяли слизь каждые несколько часов».
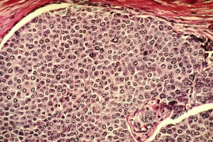
2. «Каждый день ты производишь раковые клетки, но иммунная система с ними справляется. Поправка: как правило».
3. «От трети до половины всех оплодотворенных яйцеклеток не становятся жизнеспособной беременностью. Вместо этого они покидают тело под видом «обильной менструации». Большинство женщин даже не подозревают, что у них случился выкидыш».
4. «Мозг всегда защитит себя, даже если для тебя это обернется страданиями или смертью. Вдыхаешь дым, находясь в горящем доме? Мозг заставит тебя перестать дышать и потерять сознание. Застрял где-то в холоде? Ты заснешь, чтобы не тратить энергию, и никогда больше не проснешься. Мозгу нужно больше кислорода? Ты потеряешь сознание за рулем посреди дороги. Медведь оторвал тебе ногу? Вот тебе адреналин, чтобы ты мог спасти мозг, даже если существует огромный риск заражения или новой травмы. Мозг испытывает слишком много стресса? Он заставит тебя прибегнуть к алкоголю или наркотикам. Большую часть времени вы с мозгом действуете сообща, но в критической ситуации он тобой пожертвует».
5. «В твоем теле столько меди, что хватит на пару наушников».
6. «Я заметил это после того, как мне сделали операцию на брюшной полости. Когда я переворачивался в постели, мои кишки как будто бы переваливались с одного бока на другой. Я сказал об этом врачу, и она подтвердила, что мой кишечник действительно перестраивается».
7. «Тело все время издает мерзкие звуки. Ты не замечаешь этого только потому, что окружающий шум как бы заглушает их, потому что уши фокусируются на нем. Крайне необычный способ познать свое тело — сходить в одну из этих супертихих комнат, которые полностью поглощают все звуки».
8. «Женщины появляются на свет сразу со всеми яйцеклетками, которые они выпустят из яичников за свою жизнь. Следовательно, беременная женщина, вынашивающая ребенка женского пола, также вынашивает яйцеклетки, которые станут ее внуками».
9. «На этой неделе местная девушка лет двадцати скончалась от зубной боли. На выходных она написала на Facebook*, что ей нужно к стоматологу, но она подождет до понедельника, и уже в воскресенье утром ее не стало. Инфекция проникла в ее мозг».
10. «Анальное отверстие и рот развиваются из одной и той же группы клеток, но сначала образуются клетки анальной области, а уже из них — клетки рта. Это значит, что твой рот состоит из твоей задницы».
11. «Если ствол головного мозга (часть мозга, которая отвечает за моторный контроль всего тела) поврежден, может развиться синдром «запертого человека». То есть, человек полностью в сознании и осознает свое окружение, но не может двигаться или говорить. Единственные мышцы, которые остаются незатронутыми у большинства людей, — это мышцы, которые двигают глазами и веками. Вы, по сути, заперты в собственном теле, и единственным способом общения является моргание или движение глаз. Это может быть вызвано токсинами, закупоркой основной артерии, которая является основной артерией мозгового ствола, или другим повреждением ствола мозга».
12. «По оценкам, в 60% случаев рак возникает из-за неуправляемых факторов риска. Другими словами, он не зависит от образа жизни и его нельзя предотвратить».
13. «Голову можно провернуть примерно три с половиной раза, прежде чем она оторвется».
14. «В пальцах рук и ног нет мышц. Все мышцы, которые контролируют их через сухожилия, находятся в предплечьях/кистях и голенях/ступнях. Твои пальцы как марионетки на ниточках. Сладких снов»
15. «Бывают опухоли с волосами, зубами и даже глазами. Они называются тератомы».
16. «Даже малейшая травма мозга может изменить всю твою жизнь. В зависимости от того, какая часть мозга пострадала, можно лишиться особых/основных чувств, контроля над собственным телом, способности использовать и/или понимать язык, воспоминаний, личности и т. д. Не забывайте надевать шлем, люди!».
17. «Менструальные боли — это, по сути, результат того, что матка себя душит. Чтобы вывести мукозный слой из матки во время менструации, матка должна сокращаться. Иногда, когда сокращения становятся сильнее, матка сжимает кровеносные сосуды так туго, что до них не может добраться кислород, что посылает в мозг болевые сигналы. Но подождите, это еще не все — этот процесс увеличивает выработку химических веществ, называемых простагландинами, которые вызывают более сильные сокращения матки. Вот уж правда, никакой пощады».
18. «Однажды ученые взяли мазок из пупка американца, чтобы изучить живущие там бактерии. Они обнаружили бактерии, ранее известные только в Японии. Этот человек никогда не выезжал за пределы США, так что кто знает, какие бактерии из каких стран ты носишь в своем пупке».
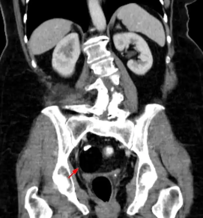
19. «Твое тело может дать сбой и убить тебя практически без предупреждения множеством разных способов. Аневризма может оставаться незамеченной до тех пор, пока не лопнет и не убьет тебя. «Удачный» удар в грудь может остановить сердце. Ты можешь столкнуться с аллергеном, который до этого никогда не вызывал иммунный ответ, но он так сильно напугает тело, что ты умрешь. Ты буквально просто не знаешь, когда твое тело просто… умрет».
20. «Ты выделяешь и проглатываешь от 1 до 2 литров слюны. Каждый. День».
21. «От разбитого сердца можно умереть. Человек с разбитым сердцем может заболеть до такой степени, что тело перейдет в режим выживание и отключит основные функции».
22. «Если беременная женщина пострадала, стволовые клетки из ее матки переходят к поврежденным органам и восстанавливают их, чтобы защитить ребенка».
23. «Люди — вторичноротые. То есть первое, что развивается в эмбрионе, — это отверстие, которое в конечном итоге станет анусом. Значит, в какой-то момент ты был просто задницей».
24. «Твой позвоночник и система поддержки рассчитаны на передвижение на четырех конечностях. Грубо говоря, у нас у всех больная спина».
25. «У тебя мокрые кости».
26. «На твоем лице живут и питаются клещи».
27. «Существует около 1000 видов паразитов, которые могут жить в организме человека. Анализы могут выявить лишь 50-60 из них».
28. «Химия мозга достаточно стабильна, чтобы просуществовать тысячи лет, если человек не болен. Нас убивает остальное тело».
29. «Наша собственная иммунная система может убить нас, по сути, взорвав себя, защищаясь от незваных гостей».
30. «Твоя иммунная система не подозревает о существовании глаз, иначе бы она атаковала их и оставила тебя слепым».






























