Каково это – никогда не чувствовать боль? Вот представьте: человек случайно берет горячую сковородку, а вместо сильной боли – лишь легкое недоумение и запах паленой кожи. Или ломает ногу, а вместо адской боли только хруст и странное ощущение в конечности...

Для некоторых людей это – реальность и каждодневная борьба за жизнь. У них врожденная нечувствительность к боли (сокращенно ВНБ) – редкое генетическое заболевание. Вот несколько фактов об этих удивительных и, одновременно, очень уязвимых людях.
1. Один на миллион

Люди с ВНБ рождаются очень и очень редко. В России точной статистики нет, но, судя по мировым данным, это единицы на миллионы. В США, например, зарегистрировано менее 100 случаев, в Японии – чуть больше 300. Почему так мало? Дело в том, что это состояние вызвано очень редкими генетическими мутациями. И это, знаете ли, делает каждого из них уникальным, настоящим медицинским феноменом.
2. ВНБ — наследственное расстройство

ВНБ, как мы уже выяснили, – это наследственное расстройство. И оно бывает двух видов: врожденная нечувствительность к боли (ВНБ) и врожденная нечувствительность к боли с ангидрозом (ВНБА). В чем разница? ВНБ – это когда человек просто не чувствует боли, а ВНБА – это когда к нечувствительности добавляется еще и неспособность потеть. И то, и другое, вызвано мутациями в генах, которые отвечают за передачу болевых сигналов в мозг. Эти мутации могут влиять не только на болевую чувствительность, но и на другие функции организма. Но об этом чуть позже.
3. Мир без боли и без запахов

Вот еще один интересный факт: иногда нечувствительность к боли идет рука об руку с аносмией – потерей обоняния. Казалось бы, где боль, а где запахи? Но связь есть, и она опять же в генетике. Те же самые гены, которые изменены при нечувствительности к боли, могут влиять и на обонятельные нейроны, которые передают информацию о запахах в мозг.
4. Жизнь как минное поле


Самое страшное для людей с ВНБ – это не сама нечувствительность к боли, а ее последствия. Поскольку они не чувствуют боли, они часто травмируют себя, сами того не замечая. Ожоги, порезы, переломы – все это становится для них обычными вещами. Особенно часто травмируются дети. Именно поэтому родители детей с ВНБ должны быть особенно бдительными и осторожными с детьми.
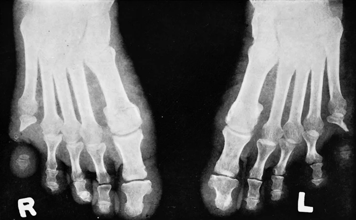
5. Самопроизвольная ампутация

Пожалуй, самое жуткое осложнение ВНБ – это аутоампутация. Что это такое? Это когда из-за повторяющихся травм повреждаются кровеносные сосуды, ткани начинают отмирать, и конечность… просто отпадает. Для людей с ВНБ – это реальная угроза. Пальцы рук и ног страдают чаще всего. И это не самое страшное. Повреждения могут быть гораздо серьезнее, вплоть до потери целой конечности.
6. Костные инфекции и разрушение суставов

Боль – это не просто неприятное ощущение. Это сигнал, что с телом что-то не так. Без этого сигнала организм становится уязвимым для различных инфекций и заболеваний. Люди с ВНБ часто страдают от хронических костных инфекций (остеомиелита) и разрушения суставов (артропатии Шарко). Почему? Да потому что переломы и травмы, которые они не чувствуют, становятся воротами для инфекций. А поврежденные суставы, без "болевой защиты", быстро изнашиваются и разрушаются.
7. Высокая температура и перегрев организма

А теперь поговорим о тех, у кого не просто врожденная нечувствительность к боли, а нечувствительность к боли с ангидрозом (ВНБА). Ангидроз – это неспособность потеть. И это очень серьезная проблема. Пот – это естественный механизм охлаждения организма.
Когда нам жарко, то мы потеем, затем пот испаряется, забирая с собой излишки тепла. Что происходит, если пота нет? Правильно, организм перегревается. Люди с ВНБА часто страдают от высокой температуры тела, которая может достигать критических значений.
Высокая температура угнетает нервную систему, приводит к обезвоживанию. Возможно возникновения нарушений кровообращения во внутренних органах (за счет увеличения вязкости и свертывания крови). Поэтому высокая температура, которая долго держится, может представлять опасность сама по себе.
8. Судороги от перегрева

Высокая температура – это всегда риск судорог, особенно у детей. У людей с ВНБА этот риск многократно возрастает. Конвульсии возникают на фоне высокой температуры, они могут длиться от нескольких минут до нескольких часов. И это зрелище не для слабонервных. Судороги – это еще один фактор риска, который усложняет жизнь людей с ВНБА. Поэтому им важно контролировать температуру тела и принимать меры для ее снижения при первых же признаках.
9. Страдают кожа, волосы, ногти

ВНБА – это не только про боль и пот. Это еще и про кожу, волосы, ногти. У людей с часто наблюдается лихенификация – утолщение кожи, из-за которого она становится грубой и жесткой, как наждачная бумага прошлись. Ногти становятся ломкими, деформированными, подверженными инфекциям. А Волосы могут выпадать, образуя на голове проплешины. Это, конечно, не смертельно, но добавляет еще один штрих к портрету человека, который вынужден бороться с редким заболеванием
10. Болезнь неизлечима
На данный момент лекарства от ВНБ не существует. Лечение направлено на облегчение симптомов и предотвращение травм. Это грустно, но наука не стоит на месте. Возможно, в будущем появится лекарство, которое поможет этим людям. В 2015 году ученые сделали первый шаг в этом направлении. Они смогли впервые вызвать ощущение боли у женщины с ВНБ с помощью опиоида.