uCrazy.Ru / Невероятное преображение девушки после пластической коррекции челюсти

Невероятное преображение девушки после пластической коррекции челюсти

Девушка по имени Элли Джонс (Ellie Jones) родилась с врожденным состоянием лица, которое отразилось на том, что в возрасте 8 лет челюсть Элли просто перестала расти. В результате этого кости нижней части лица девушки перестали развиваться должным образом и были меньше нормального размера. Этот недуг был обнаружен ортодонтом, который сразу догадался в чём проблема, как только девушка пришла к нему на установку скобок в 14 лет.


В течение следующих 6 лет Элли посещала челюстно-лицевого хирурга Эмму Вулли из госпиталя Глан Клвид, Британия, изменить не только свою челюсть, но и жизнь. Предлагаем вам взглянуть на фантастические результаты, которых им удалось добиться.




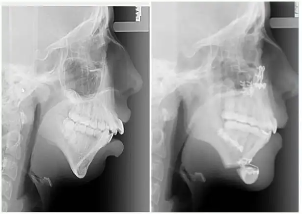
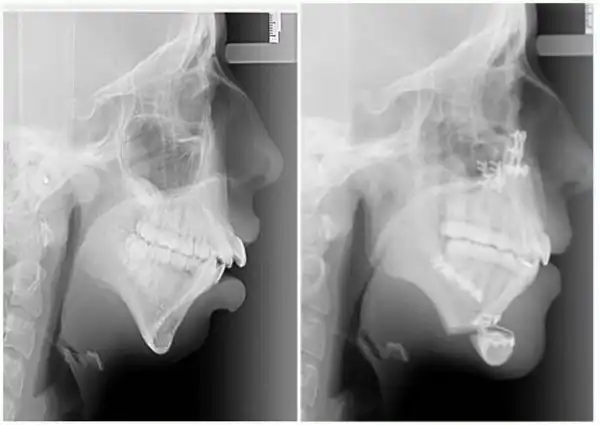
Первую операцию по преобразованию челюсти Элли перенесла в 16 лет.


"Это было очень больно, но это было необходимо сделать, чтобы разобраться с проблемой", — сказала она "В течение месяца я сидела на жидкой диете, что было очень трудно, и я не могла нормально говорить, для общения я была вынуждена использовать записную книжку. Спустя некоторое время я смогла пробормотать несколько слов, но у меня была сильная шепелявость из-за того, что мой рот очень опух", — добавила Элли




Операция заключалась в вырезании челюсти по горизонтали и вертикали с последующим ещё большим хирургическим вмешательством.




Несмотря на боль от операций, Элли говорит, что в восторге от результатов: "Я почувствовала облегчение, наконец-то я чувствую, что могу быть самой собой. Я была очень застенчивой, но теперь я чувствую себя гораздо увереннее. Это изменило мою жизнь". "Многие люди даже не догадываются о том, что имеют дефект челюсти и думают, что у них есть просто проблемы с прикусом. Если не обратить на это внимание в раннем возрасте, то это может принести реальные трудности в будущем", — сказала хирург Эмма Вулли

28 июля 2016 19:30
Вернуться назад