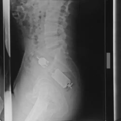
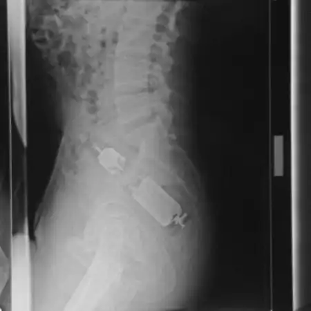
uCrazy.Ru / Рентген :)

Рентген :)










































29 ноября 2007 19:09
Вернуться назад