uCrazy.Ru / Девочка-русалка

Девочка-русалка

Большинство детей с «сиреномелией» - редким врожденным пороком развития – так называемым «синдромом русалки» погибают в первые часы после появления на свет из-за многочисленных сопутствующих дефектов развития…В настоящее время в мире известны три случая спасения детей с подобным синдромом – это американка Тифани Йоркс, успешно перенесшая операцию по разделению ног 19 лет назад,трехлетняя перуанская девочка Милагрос Серрон, последняя операция по разделению ног которой была проведена летом этого года, и Шилох Пепин, единственная, кого так и не прооперировали…


Шилох Пепин (Shiloh Pepin) родилась в Кеннебункпорте (Kennebunkport) в штате Мэн в 1999…



Кроме сросшихся ног у девочки при рождении не досчитались мочевого пузыря, матки, толстого кишечника, влагалища…У неё была лишь одна недоразвитая почка и один яичник…


Родители были готовы к тому, что с такими дефектами их дочь проживёт не более нескольких месяцев…


Но Шилох оказалась молодчиной - она дотянула до двух…


А после пересадки почки в возрасте 2 лет от роду и вовсе адаптировалась к жизни…


общем, за эти годы она перенесла более 150 операций большей или меньшей сложности...


Но окружающие редко видели её без улыбки на лице…


Она прекрасно плавает


И даже занимается в гимнастической студии…


В 2007 вторая пересадка почки также прошла успешно, что подарило девочке ещё одну надежду…В настоящее время Шилох посещает начальную школу… Но пока неясно, будет ли ей рекомендована операция по разделению ног - врачи воздерживаются от прогнозов…


На сегодняшний день единственный человек, перенесший такую операцию и живущий после этого уже достаточно много лет - это 19-летняя американка Тиффани Йоркс, которой операцию сделали в годовалом возрасте…


В течение всего этого срока ей продолжали делать корректирующие операции…


Но она так и не научилась ходить…


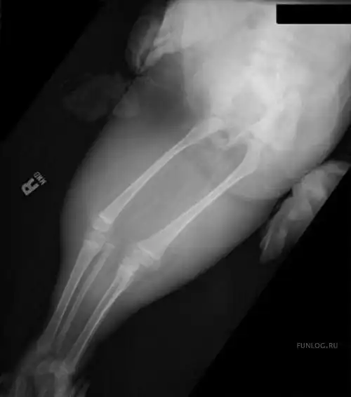
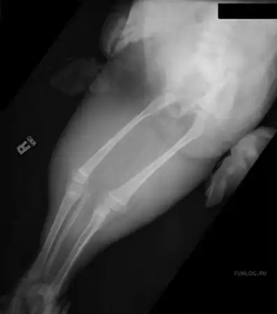
Чего не скажешь о Милагрос Серрон… Эта малышка, прооперированная перуанскими врачами в 2006 году, сделала свои первые шаги…


Серьезной проблемой было отсутствие так называемых вертлюжных впадин - суставных ямок для бедер - без них девочка не смогла бы стоять. Однако выяснилось, что постепенно ее скелет сформировал нужные части…


Отец девочки, Ричард Серрон, сказал что он очень надеется, что его дочь сможет жить нормальной жизнью. "Я надеюсь, что мы сможем сходить погулять, что она самостоятельно пойдет в школу. Я бы очень хотел этого…"


И можно сказать, что его мечта сбылась - недавно Милагрос записали в балетную школу…
29 февраля 2008 18:42
Вернуться назад