uCrazy.Ru / Курить или не курить?!

Курить или не курить?!

Внимание ЖЕСТЬ. Людям со слабой психикой не рекомендую к просмотру. Курящим смотреть обязательно.


ОПАСНОСТЬ. Курильщики подвергают себя риску.



СТРАДАНИЕ. Никотиновая зависимость приводит к боли и смерти.


ГАНГРЕНА. Курение затрудняет кровообращение и приводит к закупорке артерий и вен.


ИНФАРКТ. Курение приводит к смерти от инфаркта.


ИМПОТЕНЦИЯ. Курение приводит к импотенции.


КОЖА. Курение способствует появлению морщин.


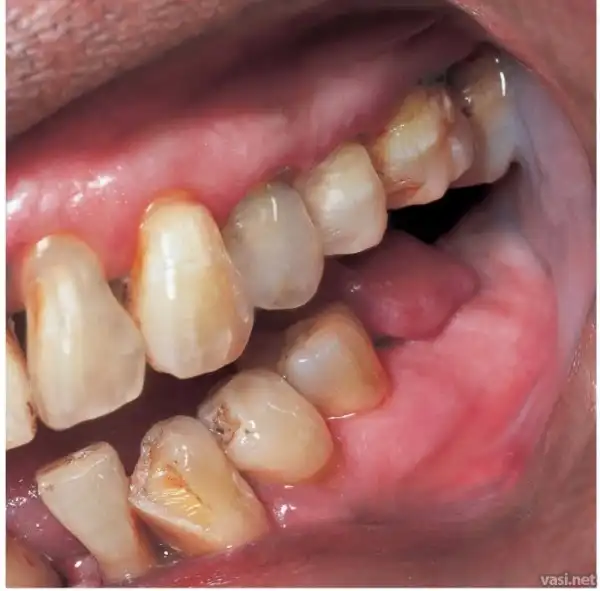
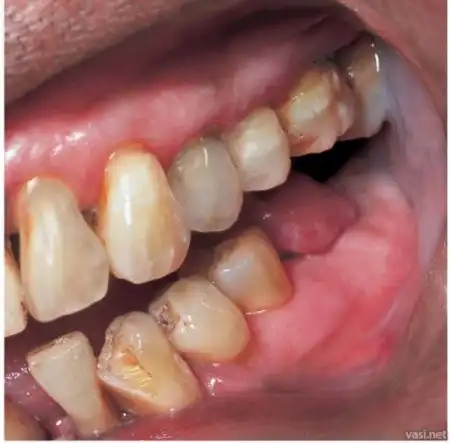
ЯД. Сигареты содержат ядовитые вещества, от которых заболевают и умирают.



ЯДОВИТЫЙ ДЫМ. Вдыхание сигаретного дыма приводит к пневмонии и бронхиту.


ЖЕРТВЫ. Курение вредит беременным и их детям, приводит к преждевременным родам и смерти детей.



СМЕРТЬ. Курение приводит к смерти от рака лёгких.


Хватит расходовать свои органы впустую.














Курящие женщины теряют свою привлекательность и приобретают отвратительный запах.







Не думаю, что кто-то хочет употребл*ть это вовнутрь.


Курящие беременные рискуют потерять ребёнка.








Дети, живущие в семьях курильщиков, страдают от астмы и аллергии.











С 2001 года террористы убили 11 377 человек, табак убил 30 000 000 человек.


Среднестатистическому курильщику необходимо около 5 000 сигарет в год.



Каждая сигарета стоит курящему 15 минут жизни.



Не слишком ли дорого обходится это сомнительное удовольствие?

8 сентября 2009 00:26
Вернуться назад