uCrazy.Ru / Как исправить прикус с помощью брекетов

Как исправить прикус с помощью брекетов

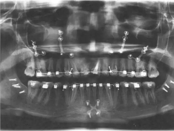
Этой девушке давно пора было исправить свой прикус, поэтому она обратилась к стоматологу.
Врач установил ей специальные брекеты, которые ей придется носить долгих пять лет.
Но, что поделаешь, за красоту надо платить.












14 августа 2012 05:31
Вернуться назад