Мини-чат
Или войти с помощью
88
2
2

Как исправить прикус с помощью брекетов

Фотографии
все теги

Этой девушке давно пора было исправить свой прикус, поэтому она обратилась к стоматологу.
Врач установил ей специальные брекеты, которые ей придется носить долгих пять лет.
Но, что поделаешь, за красоту надо платить.












@uCrazy_org
Комментарии12
  1. Beyonce
    На uCrazy 16 лет 2 месяца
    все равно писец
  2. Arvira
    На uCrazy 17 лет 9 месяцев
    через пять лет посмотрим
  3. iostream
    На uCrazy 13 лет 8 месяцев
    тут не только в прикусе дело. у нее и просто рожа страшновата
  4. Lighter
    На uCrazy 14 лет 6 дней
    нормальная рожа(после), у нас пол страны страшнее
  5. O_N_D_R_E_Y
    На uCrazy 15 лет 4 месяца
    Lighter, алкогольная половина furspirs
  6. lsn-vip
    На uCrazy 17 лет 11 месяцев
    Сапчак ща апзавидуется lol
  7. DJaVa
    На uCrazy 19 лет 2 месяца
    trollface))
  8. Margarita
    На uCrazy 13 лет 9 месяцев
    Стало значительно лучше, чем было. Мне кажется, что вполне нормальная девушка.
  9. mactep850
    На uCrazy 14 лет 5 месяцев
    не знал что эта хрень такое исправляет... поначалу подумал без ломика и пасатижав не обошлось.
  10. Passerby
    На uCrazy 13 лет 5 месяцев
    mactep850, моему другу на исправление прикуса запросили чуть ли не миллион рублей. У него верхняя челюсть выпирала сильно вперед. Сказали, что надо ломать все и собирать заново. Тот без раздумий отказался.
  11. Plomba
    На uCrazy 18 лет 2 месяца
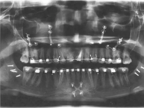
    Судя по титановым пластинам на рентгенограмме, ей ещё операцию делали на нижней и верхней челюстях. нижнюю челюсть точно в трех местах пилили
  12. qwerti
    На uCrazy 15 лет 15 дней
    уф......мне недавно такие штуки сняли...отмучилась
Поддерживаются прямые ссылки на изображения, а также ссылки на youtube, rutube, vk video, giphy, coub, tenor, t.me и т.д.

{{PM_data.author}}

{{alertHeader}}