uCrazy.Ru / Рак легких в рентгеновском изображении

Рак легких в рентгеновском изображении


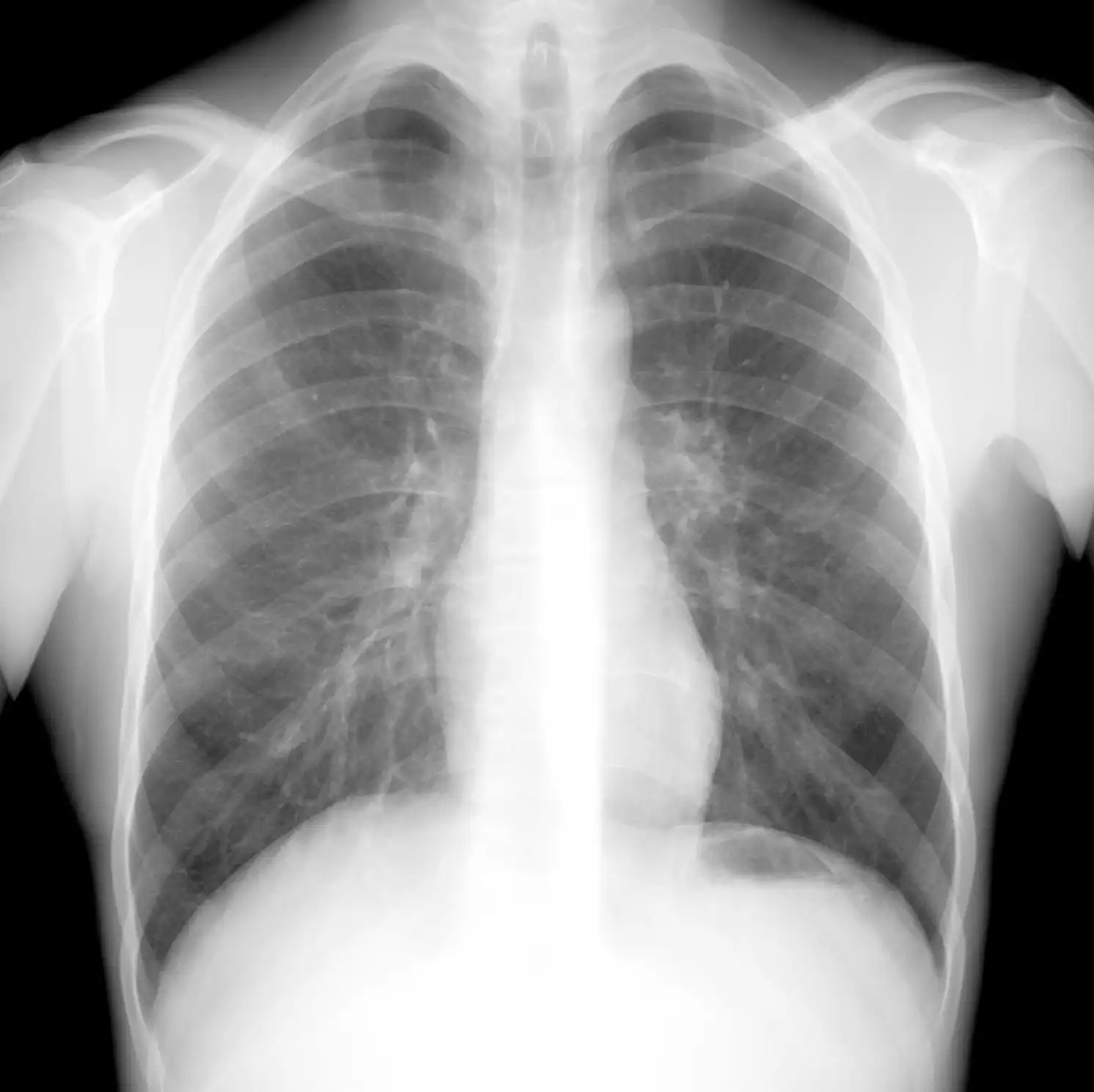
НОРМА:

Пациент № 1:

Линейная томограмма:



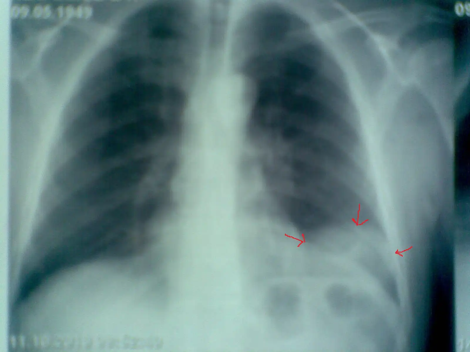
Пациент №2:
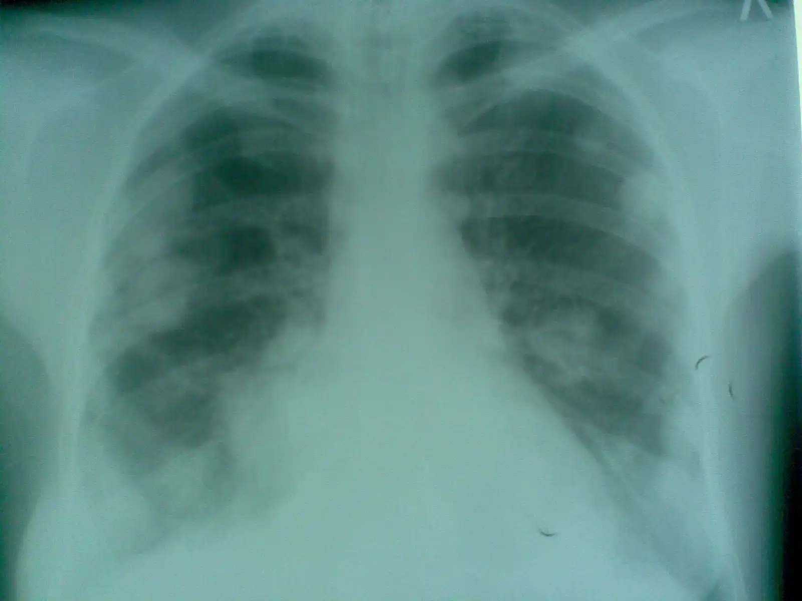
Флюорограмма:


Линейная томограмма:


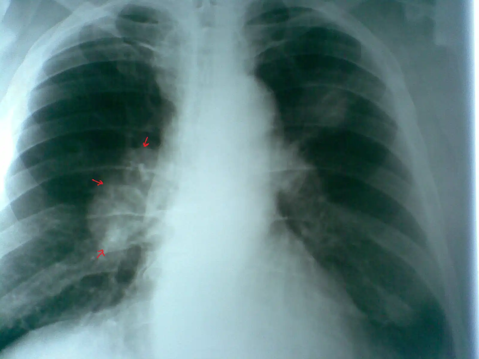
Пациент № 3:
Линейная томограмма:



Пациент № 4:


Пациент № 5:

Линейная томограмма:



Пациент № 6:
Флюорограмма:



Пациент № 7:

Пациент № 8:
Метастатическое поражение легких из рака почек:



Из личного наблюдения: Примерно 90% пациентов с раком легких курят (1-7 пациенты). Их стаж курения составляет 15-30 лет, по 1-2 пачке сигарет в день. Анализирую эту статистику задаешься вопросом: Какая будет статистика этого заболевания, если человек бросит курить?
5 марта 2011 02:55
Вернуться назад