Мини-чат
Или войти с помощью
50
4
4

Рак легких в рентгеновском изображении

Интересное
все теги


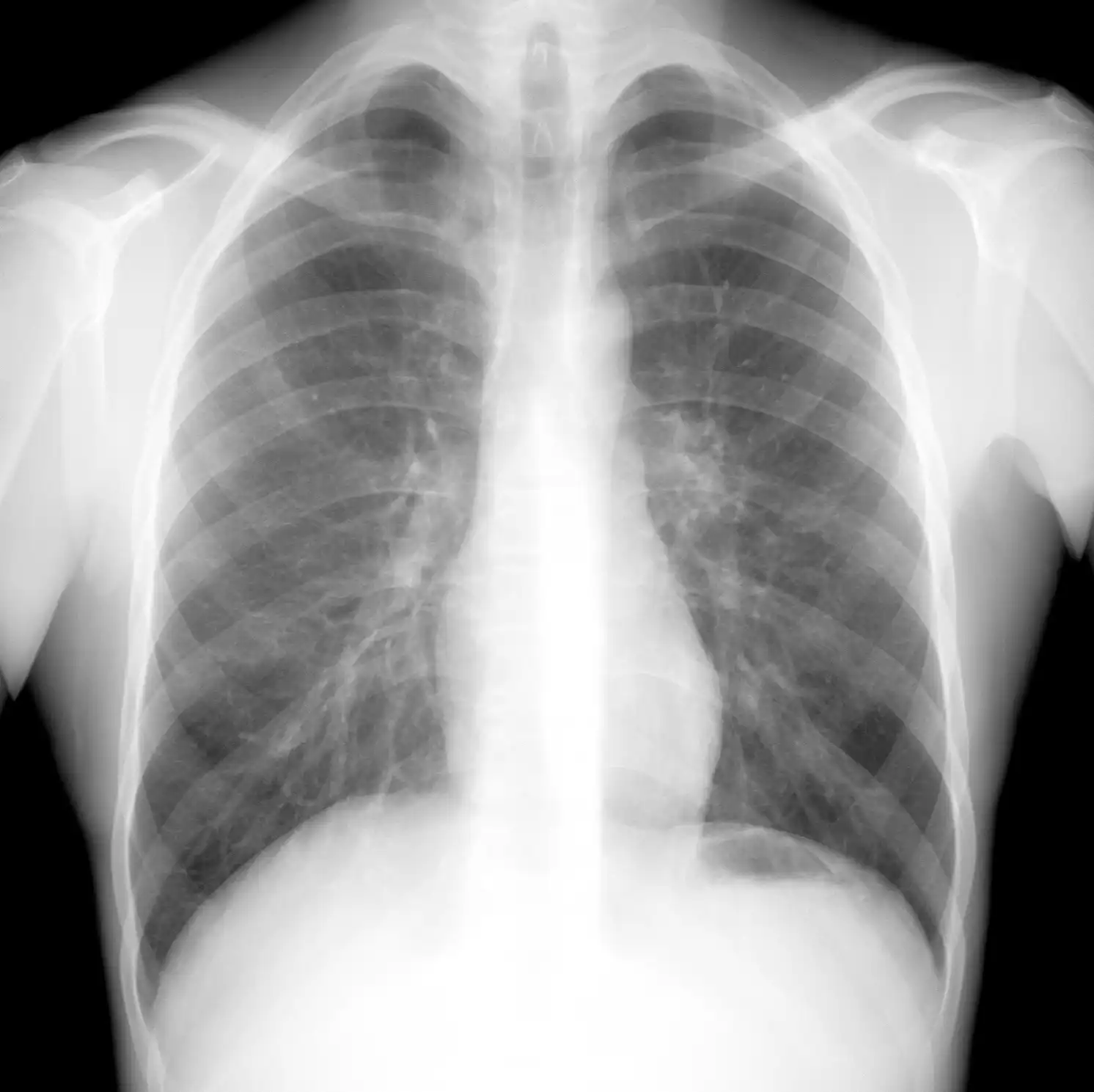
НОРМА:

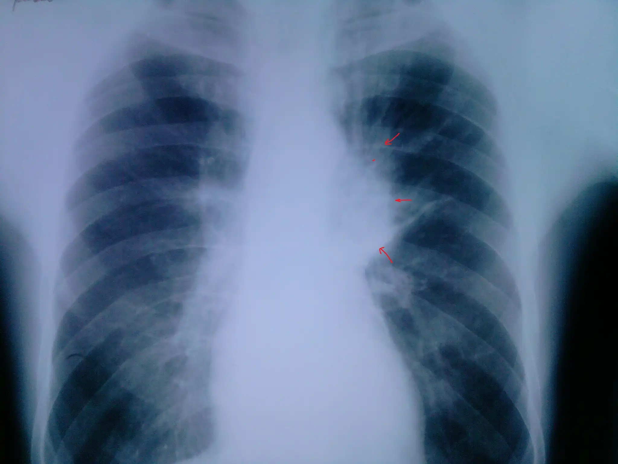
Пациент № 1:

Линейная томограмма:



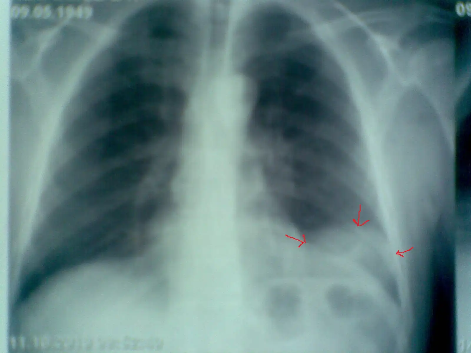
Пациент №2:
Флюорограмма:


Линейная томограмма:


Пациент № 3:
Линейная томограмма:



Пациент № 4:


Пациент № 5:

Линейная томограмма:



Пациент № 6:
Флюорограмма:



Пациент № 7:

Пациент № 8:
Метастатическое поражение легких из рака почек:



Из личного наблюдения: Примерно 90% пациентов с раком легких курят (1-7 пациенты). Их стаж курения составляет 15-30 лет, по 1-2 пачке сигарет в день. Анализирую эту статистику задаешься вопросом: Какая будет статистика этого заболевания, если человек бросит курить?

@uCrazy_org
Комментарии27
  1. Lotus_rebel
    На uCrazy 15 лет 2 месяца
    курите на здоровье
  2. mcjeka
    На uCrazy 17 лет 6 месяцев
    smoke smoke smoke НЕЕЕ... КУРЕНИЕ НЕ ВРЕДИТ :)
  3. electronika_50y
    На uCrazy 15 лет 2 месяца
    Курить вредно пить противно, а умирать здоровым жалко.
  4. Nikolson1983
    На uCrazy 15 лет 11 месяцев
    Вы так базарите, потому что не знаете про рак ничего. Не дай Бог вам с этим столкнуться death
  5. КАВКАЗ05
    На uCrazy --
    Nikolson1983, +1
  6. Serenisima
    На uCrazy 16 лет 7 месяцев
    Никто об этом не задумается, пока либо сам лично на своей шкуре это не прочувствует (да уже поздно дергаться, батенька!), либо пока это не коснется его родных, близких или знакомых. В нашей стране кривых зеркал народу настолько промыли мозги табако-алко-нарко-пропагандой, что вряд ли кто-то побеспокоится и задумается, а вредно ли все то, чем он заполняет свою жизнь? Как говорится, пока гром не грянет, мужик не перекрестится.
    Nikolson1983,
    +1.
  7. VLADSLAV
    На uCrazy 17 лет 4 месяца
    Рак легких помогает бросить курить
  8. DarthVader
    На uCrazy 18 лет 10 месяцев
    РАК СУКА ЧТОБ ОН СДОООООООООООООООООООООООООООООООООООООХ ПИДОР чмо урод
    будь он проклят уёбище
  9. kackbIp
    На uCrazy 19 лет 11 месяцев
    Цитата: electronika_50y

    Курить вредно пить противно, а умирать здоровым жалко.

    А жить больным не жалко?
  10. mcjeka
    На uCrazy 17 лет 6 месяцев
    А ВЫ ЗНАЕТЕ О ЧЁМ ГОВОРИТЕ!? У МЕНЯ ДЕД УМЕР ОТ РАКА ЛЁГКИХ - С 16 лет КУРИЛ, Я КУРИЛ 9 лет И БРОСИЛ, А ВЫ УЁ6КИ МАЛОЛЕТНИЕ ПОКА НЕ СТОЛКНЁТЕСЬ С РАКОМ, ТАК И БУДЕТЕ ХОДИТЬ И "БЛАТОВАТЬ" С СИГАРЕТКОЙ НА ПЕРЕВЕС pimp
  11. rav
    На uCrazy 19 лет 9 месяцев
    мой папа умер от рака легких! sad
  12. keepthebeat
    На uCrazy --
    у меня бабушка от рака умерла,но НИКОГДА в жизни не курила и пила по праздникам,традиционно,не иначе!тем не менее...
    сейчас с нашами условиями жизни не имеет значения куришь ты или нет,загазованность и выбросы заводами в атмосферу наивреднейших вещ-в в большинстве случаев и вызывают онкологические заболевания!а курить или нет решает каждый сам.
  13. polyamorous
    На uCrazy 18 лет 9 месяцев
    знаю просто уйму случаев заболевания раком легких (а так же печени) у людей, которые вели абсолютно трезвый, безникотиновый образ жизни....как среди знакомых, так и неочень.

    думаю, раку, в общем-то, плевать, куришь ты, пьешь, бегаешь ли каждое утро, кушаешь ли правильно — перед ним ВСЕ равны. к сожалению.
  14. DELETE_1
    На uCrazy 16 лет 6 месяцев
    1. Вопрос автору: Ты сам врач? С историями болезней данных пациентов лично знаком? Или это подборка из интернета?

    2. По поводу снимков... Сомнение вызывает первый пациент. 2 фокуса в разных легких... Разве что метастазы в прикорневые л\у правого легкого... Да и контуры очень четкие в левом легком... Верхняя доля... Дорожка к корню... Больше похоже на туберкулез ИМХО. Хотя и лучистость есть... Спорно.
    Пациенты 6 и 7 тоже под вопросом... Не четкая картина.

    3. По поводу курения... Это вредно, конечно, но на рак легких влияет как раз мало... В основном страдает ССС.
    А вот некоторые данные, которые состоят из: страны, процента курящих мужчин/женщин, и количества людей которые заболевают раком лёгких мужчин/женщин.
    Индия, курит около 47% мужчин, и 17 % женщин. Раком лёгких болеют 7 мужчин и 2 женщины на 100 тыс. чел.
    Швеция, одна из наименее курящих стран Европы. Около 15% мужчин курящих, а женщин вообще мало. 43/20 чел. заболевают раком легких (на каждые сто тысяч жителей).
    Дания - 40% курильщиков, умирает от рака легких 83/43 чел. Курят меньше чем в Индии а умирает в десять раз больше людей. Великобритания, курит 36%. умирает от рака легких 103/45 чел.
    США, курит 28/22 % людей, умирает от рака легких 80/40 чел на сто тыс. Сравнить США и Данию, в США курят в полтора раза меньше, а умирают от рака легких одинаково. Современная индустриально развитая Япония является страной с самым высоким числом курильщиков, но при этом там насчитывается самый низкий процент лёгочных заболеваний.

    Фактически, если смертность от рака, скажем, 80 чел. на сто тысяч, это 0,08% от всего населения страны. Если при этом курящих около 30%, то на 375 курильщиков получается всего один случай рака, да и то, если предположить, что некурящие от рака лёгких не умирают никогда (что абсолютно не так). То есть, от рака легких страдает менее 0,2% курильшиков.
  15. nelegalius
    На uCrazy 16 лет 6 месяцев
    был у сестры на работе на вскрытии курильщика - внатуре в легких как-будто ошметки какие то черные есть
  16. DELETE_1
    На uCrazy 16 лет 6 месяцев
    Цитата: nelegalius
    был у сестры на работе на вскрытии курильщика - внатуре в легких как-будто ошметки какие то черные есть
    Это кровяные сгустки из артерий.
  17. acer
    На uCrazy 15 лет 6 месяцев
    курите, чужого здоровья не жалко
  18. RaNdomiZE
    На uCrazy 16 лет 10 месяцев
    Уверен что 80% больных раком курили больше 10 лет и не по пол-пачки в день а по 1-3 пачки. Да и организмы разных людей по разному подвержены заболеваниям.
    ИМХО Курить или нет решает сам человек, а осуждать и останавливать его не надо, если сам человек этого не поймет то вы ему хоть заговоритесь, хоть закодируйтесь его, толку будет 0. Курил 3 года(примерно по пол-пачки в день), но параллельно еще занимался и футболом, каждый год проходил Флюорографию и ради интереса спрашивал каковы результаты с прошлыми годами? а в ответ: "Ничего не изменилось, как были чистые хорошие легкие так и остались"
    Nikolson1983,а ты много знаешь о раке?
    mcjeka,Перечитай свой первый коммент и воткни себе ручку в глаз!
  19. voldemar-t
    На uCrazy --
    Triamteren, Конечно ты прав не какие доводы не могут спорить с фактами но статистика очень условна, каждый организм это частный случай и для любого рака всегда есть свои провоцирующие факторы, просто в 99% случаев их не выявляют. Но неужели ты как врач хочешь сказать что вдыхая с дымом сигареты огромное количество свободных радикалов и канцирогенов тканям и их росту не наносится ни какого вреда? Знаешь что такое болезнь трубочистов в 17-18 веке от нее умерло 98% людей практикующих эту профессию. Это рак гортани и носоглотки. ВДЫХАНИЕ ПРОДУКТОВ СГОРАНИЯ ЭТО ВРЕД!!!
    Википедия:
    Курение табака на сегодняшний день — основная причина рака лёгкого. Сигаретный дым содержит более 60 известных канцерогенов, в том числе радиоизотопы радона, нитрозамин и бензопирен. Кроме того, полагают, что никотин подавляет иммунную систему, что способствует озлокачествлению тканей. В развитых странах почти 90 % случаев смертельного рака лёгких вызваны курением. Среди курящих мужчин, пожизненный риск развития рака лёгких составляет 17,2 %, среди курящих женщин — 11,6 %. Этот риск значительно ниже у некурящих: 1,3 % у мужчин и 1,4 % у женщин. И сергиус лишний раз основываясь на своем опыте доказывает нам что это так.
    А что касается японцев:
    Национальная программа раннего обнаружения рака в Японии дает серьезные результаты Профессор Цугуо Наруке: Число больных раком легкого растет. В Японии рак легкого по сравнению с другими онкологическими заболеваниями занимает по распространенности первое место у мужчин и третье у женщин. Основных причин две это курение и увеличение продолж. жизни.
    И вообще японцы ооочень продвинуты в онкологии у них идет поголовный скрикинг особенно по группам риска они делают операции в вакумных камерах обкалывают неопирабельные участки распространения опухоли гамма-интерфероном и.т.д.

    Как ни крути курение всеравно определяет группу риска возникновения рака.
    А все зависимые люди всегда найдут тысячу оправданий лишь бы в очередной раз доставить себе удовольствие. Поднести к носу сигаретку и так глубоко, смакуя вдохнуть ее нежный аромат. Закурить, наполняя легкие нежным дымом. И возможно почувствовать единение с окружающим миром спокойствие, может собраться с мыслями или чтото еще. Зачем бросать не надо курите это не вредно и все что говорят это не так,и у вас есть свои факты, и вы сам знаете что для вас лучше. Но помните что прибегая к курению вы просто ищете альтернативу своим не реализованным потребностям или каким то навящевым эмоциям. Подумайте чего вы хотите на самом деле!
    Ваше тело это ваш друг оно дает вам возможность жить чувствовать любить познавать а вы с ним так. И ради чего? Ради глотка едкого дыма. Наберитесь смелости хотябы на откровение с самим собой и признайтесь себе что вы себя намеренно убиваете и все.


  20. LLIHuna
    На uCrazy 18 лет 3 месяца
    Бесспорно курение-это плохо.Но у каждой монеты всегда две стороны.Никотин-один из самых сильных антистрессовых средств.Стресс вносит очень большую лепту в возникновение рака и многих других болячек.Это,конечно,не является аргументом в пользу курения.Но не стоит думать,что именно оно является причиной рака легких и чего-бы то ни было.
  21. ПМ
    На uCrazy 17 лет 2 месяца
    слышал недавно фразу: -"вред курения еще не доказан..." hmm
  22. Малевич
    На uCrazy 19 лет 11 месяцев
    Вот ребята не надо тут в комментах защищать курение, дескать "я знаю тыщу случаев, когда некурящие заболевали". Курение - это адская привычка. Она убивает вас, без вариантов! Даже алкоголь в небольших дозах полезен. Курение - это смерть, спросите у любого даже студента-медика. Ну кроме тех, кто сами дымят, таких я презираю.

    Да вы вообще представляете, сколько ученых людей бьется над проблемой рака и особенно причин его развития?! А вы так с ходу, придя домой после уроков в школе, опровергли все научные теории. Я призываю тех людей, которые сомневаются, думают - не закурить ли? НЕ НАДО! Не убивайте себя!
  23. polyamorous
    На uCrazy 18 лет 9 месяцев
    Малевич,
    я смотрю вы провидец,) и сразу в школоту записали, и увидели, что человек, который так написал, курит)))
    может, еще расписание дня расскажете? xDD

    то, что тут кто-то оправдывает курение — ваши домыслы. тут речь была о том, что связь с раком легких по большей степени не подтверждена. это как сказать, что среди погибающих в автокатастрофах есть те, кто любит лихачить — значит, лихачество ВСЕГДА приведет к автокатастрофе. а это совсем не факт,)))
  24. самсусам
    На uCrazy 15 лет 7 месяцев
    а у моего отца в 10 поликлинике не заметили опухоль в 1/2 легкого :(
  25. Малевич
    На uCrazy 19 лет 11 месяцев
    Polyamorous, и в манипулирование словами не надо тут играть. Вы прекрасно поняли, что я хотел сказать, и про какие комментарии имел в виду. Если вам необходимо самоутвердиться за счет спора в комментах не по сути, а цепляясь к формулировкам и хитро оперируя логикой, вы наткнулись не на того собеседника. Свое эго можете тешить с другими, либо подавите его.
  26. popuilar
    На uCrazy 15 лет 3 месяца
    keepthebeat,
    +1
  27. Delfina
    На uCrazy 18 лет 7 месяцев
    Если ты не рентгинолог и не врач, никогда не отличишь рак от другой патологии легкого.
Поддерживаются прямые ссылки на изображения, а также ссылки на youtube, rutube, vk video, giphy, coub, tenor, t.me и т.д.

{{PM_data.author}}

{{alertHeader}}