ЧАСТЬ 34
* * *
Броненосец «Бреннус»
Броненосец «Бреннус» (фр. Brennus) — единичный броненосец ВМС Франции, построенный в 1889—1896 годах. Первый французский эскадренный броненосец, и первый броненосец, заложенный во Франции с 1883 года, назван в честь вождя галлов Бренна и имеющий три допустимые русские транскрипции: «Бренн», «Бреннус» и «Бренью».
Под влиянием идей т. н. «молодой школы», господствовавших во французском кораблестроении в 1880-х годах, за период с 1883 по 1889 год французы не заложили ни одного броненосца. Особое внимание «молодая школа» уделяла минно-торпедным силам и рейдерской войне против коммерции противника.
К концу 1880-х, интерес к идеям «молодой школы» значительно ослабел. Практика морских маневров показала, что радикальные идеи «Jeune Ecole» работают только в полигонных условиях, в реальной же обстановке войны на море они как минимум малоприменимы. Военно-морские маневры 1886 года наглядно продемонстрировали, что столь любимые «Jeune Ecole» малые миноносцы при любом ухудшении погодных условий практически утрачивают боеспособность, в то время как крупные броненосные корабли сохраняли свои боевые качества. В 1887 году ушел в отставку самый влиятельный сторонник «молодой школы» — адмирал Теофил Об.
Ранее, в 1884 году, Франция начала постройку двух броненосцев по усовершенствованному проекту «Марсо». Под влиянием адмирала Оба, постройка этих кораблей была прекращена, но подготовленные материалы и оборудование сохранены. В 1888 году, правительство Франции решило, используя готовые материалы от двух недостроенных кораблей, построить новый современный броненосец. Корабль, получивший название «Бреннус» был заложен на стапеле ВМС в Лорьяне в 1889 году.
Для французского кораблестроения, «Бреннус» был значительным шагом вперед. Этот корабль был вполне сопоставим по большинству характеристик с современными британскими броненосцами, хотя затянувшаяся постройка и строительная перегрузка привели к его быстрому устареванию.
Вооружение «Бреннуса» было мощным и эффективным: французы придавали большое значение как длинноствольным орудиям главного калибра (обладавшим большей пробивной силой чем даже бо́льшие калибром британские аналоги), так и защите вспомогательной артиллерии. На «Бреннусе» впервые в мировом кораблестроении часть артиллерии вспомогательного калибра разместили в вращающихся башнях, имевших широкие углы обстрела.
Броненосец также был очень хорошо защищен, имея прочное и рационально расположенное бронирование (хотя из-за строительной перегрузки, главный пояс броненосца почти скрывался под водой)
В целом, «Бреннус» был несомненной удачей французского кораблестроения, хотя последующие броненосцы развивали иную схему расположения артиллерии.
* * *
Итальянские линкоры охраняют африканские конвои, 1942 год
Итальянские линкоры типа Андреа Дориа охраняют африканские конвои, доставляющие грузы для немецких и итальянских войск в Северной Африке. На видео либо сам Андреа Дориа, либо его систершип Кайо Дуилио. По времени скорее всего зима начала 1942 года.
Итальянские линкоры типа Андреа Дориа - мощные корабли, построенные еще в период Первой мировой войны, но прошедшие серьезную модернизацию до 1940 года. водоизмещение до 28882 т. Были убраны 12 котлов, а ремонт турбин повысил мощность до 75 тысяч л.с. и скорость до 26 узлов. В 1942 году корабль был вооружен 10 орудиями калибра 320-мм, 12 строенными 135-мм пушками (четыре орудийные башни), а также имел серьезное зенитное вооружение: 10 90-мм, 15 37-мм и 16 20-мм орудий (позднее были добавлены еще 4 37-мм и убраны 2 20-мм орудия). Экипаж составлял 1485 человек (35 офицеров и 1450 матросов).
[media=https://youtu.be/7XspJ43Yifo]
* * *
"Бисмарк" делает первые выстрелы по британскому линейному крейсеру «Худ»
24 мая 1941 г. Линкор идет в остром правом пеленге за крейсером «Принц Евгений». Линкору и крейсеру под покровом ночи удалось в тайне покинуть Корсфьорд. Их отсутствие в порту британская разведка установила только днем 22 мая. На перехват германских кораблей срочно были направлены линейный крейсер «Худ», линкор «Принс оф Уэльс» и шесть эсминцев. Британские корабли вышли из Скапа- Флоу в намерении перехватить немцев в широком проливе между Гренландией и Оркнейскими островами. Все британские корабли были брошены на защиту атлантических конвоев. Началась Большая Охота на Крупную Дичь. «Бисмарк» и «Принц Евгений» были обнаружены на рассвете 23 мая в Датском проливе британским крейсером. Ночью отметки от германских кораблей появились на экранах «Худа» и «Принс оф Уэльс». Корабли противников встретились друг с другом западнее Исландии поздним вечером 24 мая.
Орудия калибра 380 мм ведут огонь по «Худу» почти на нулевом угле возвышения – прямой наводкой, 24 мая 1941 г. Охотник нашел дичь, только повезло ли охотнику? Бой начался в 5ч 52 минуты, когда британские корабли открыли огонь по германским с дальности 22 км (13,7 морских мили). Немцы ответили тремя минутами спустя с дальности 21 км (13 миль).
Англичане стремились сократить дистанцию боя, так как 14-дюймовые орудия (356 мм) «Принс оф Уэльс» имели меньшую дальность стрельбы, чем 380-мм орудия «Бисмарка» и «Худа». Германские корабли слегка отвернули. Дистанция боя сократилась до 14 км, когда в «Худ» вонзились два выпущенных 380-мм орудиями «Бисмарка» снаряда.
Разворот немцев привел британские корабли под их правый борт. На снимке – стреляют башни ‹С› и «D» главного калибра линкора «Бисмарк». Первые выстрелы были сделаны из них в 6 ч 00 мин с дистанции 15,5 км. В «Худ» попали снаряды, выпущенные «Цезарем» и «Дорой». «Худ» затонул всего за три минуты, спасти удалось всего трех человек из команды линейного крейсера, насчитывавшей порядка 1400 моряков.
Добившись прямых попаданий в «Худ», «Бисмарк» немедленно развернул свой главный калибр в сторону британского линкора. На снимке справа – дым горящего «Худа», слева – дым от горящего «Принс оф Уэльс». За краткий промежуток времени британский линкор получил минимум четыре снаряда калибра 380 мм. В 6 ч 10 минут «Принс оф Уэльс» вышел из боя. Данный снимок сделан с борта тяжелого крейсера «Принц Евгений».
* * *
"- А где наша лодка"? - "А мы без лодки. Срочное погружение!" (с.) Х/ф "72 метра"
Фотография из английской/американской газеты, вышедшей (примерно) 18 декабря 1939 года - на тот момент пошла третья неделя Советско-финской войны (30 ноября 1939 года - 12 марта 1940 года) и внимание западных СМИ было несколько отведено от начала гитлеровской оккупации Европы в сторону СССР и его военного потенциала. Сразу скажу - наши неудачи в той войне они обсасывали с таким же наслаждением, как и сейчас.
Заголовок к статье, в которой был помещен снимок (перевод мой): "Красная Россия: Слабая на море, сильная в воздухе".
Комментарий к фотографии (литературный перевод мой): "Хотя Россия слаба своими военными кораблями, делаются некоторые необычные попытки сделать их экипажи эффективными. Российские моряки в полной униформе плавают в военном строю (или - на военных учениях) в Химкинском водохранилище, близ Москвы"
(Red Russia: Weak at Sea, Strong in the Air Though Russia in weak in ships some unusual attempts to make its personnel efficient have been made. Russian sailors in full uniform are swimming in military formation in the Khiml Reservoir.)
* * *
* * *
"Роллс-Ройс"
"Роллс-Ройс" - это не только дорогие и шикарные бронеавтомобили,
но и вот такая корабельная 2-фунтовая зенитка.
но и вот такая корабельная 2-фунтовая зенитка.
* * *
Кровожадные стражи секретного острова
* * *
ЗАЛЕЧЬ НА ДНО
Сконструированный для оказания помощи потерпевшим крушение судам и для облегчения работ по подъему грузов затонувших пароходов специальный морской «трактор», изобретенный одним нью-йоркским инженером, напоминает по своим размерам небоскреб.
У-образная рама его, могущая захватить целый океанский пароход, передвигается по дну бесконечной передачей, приводимой в действие мотором. Расположенная над рамой понтонная палуба придает всей машине достаточную плавучесть, в то время как другие палубы облегчают подъем грузов и спасение пассажиров. Снятие пассажиров и команды с налетевшего на скалы судна не составит никакой трудности для этой чудовищной машины, на маневрировании которой топография морского дна отражается столь же мало, как рельеф местности на передвижении обычного трактора. Для этого «трактористу» достаточно привести свою машину в положение над потерпевшим аварию судном, после чего оставшиеся в живых люди поднимаются на борт элеваторами, приводимыми в действие дерриками. Если имеется непосредственная опасность разлома потерпевшего аварию судна, с его наветренной стороны выстраивается специальный кессон из свай. Легкость, с которой «трактор» передвигается по морскому дну, делает его также прекрасной базой для спасательных работ на затонувших судах, как показано на рисунке.
Перевод В. Голант
Сегодня. Трактор выходит в море
Нет ни малейших сомнений в том, что такая монструозная машина осталась лишь в эскизах. На больших глубинах колеса или гусеницы совершенно бесполезны, а строить огромную амфибию в расчете лишь на спасение в прибрежных водах нерационально. Помощь терпящим крушение на море оказывают сегодня специальные корабли, например гигант «Игорь Белоусов». Это совсем недавно введенное в строй спасательное судно нашего Тихоокеанского флота оснащено подъемными кранами, системами подачи электричества и воздуха на борт гибнущего судна (в том числе подводного), средствами пожаротушения.
Спасательное судно «Игорь Белоусов» с глубоководным
обитаемым аппаратом «Бестер-1» на борту и телеуправляемым
подводным аппаратом «Пантера плюс» во время учений сил
поисково-спасательного обеспечения Тихоокеанского флота
в Приморском крае. 2016 год
обитаемым аппаратом «Бестер-1» на борту и телеуправляемым
подводным аппаратом «Пантера плюс» во время учений сил
поисково-спасательного обеспечения Тихоокеанского флота
в Приморском крае. 2016 год
А вот чтобы понять замысел нью-йоркского конструктора из 1930-х, нужно вспомнить, что именно в те времена морские «тракторы» (конечно, более скромных размеров) были довольно популярны — например, в качестве паромов для мелководья или средств доставки пассажиров на судно. Сейчас такая техника практически не используется, однако есть исключения. Так, в интересах Инженерного корпуса армии США был построен специальный трактор для исследования прибрежного дна. Кабина поставлена на высокую треногу, которая, в свою очередь, опирается на колесную платформу. Трактор может кататься по дну и уходить на глубины свыше 10 м — кабина все равно останется над водой.
* * *
"Накрыли"
* * *
Какая боль...

* * *
Круизный лайнер попал в шторм
Круизный лайнер Anthem of the Seas в феврале прошлого года направлялся из Нью-Йорка в сторону Карибских островов. Лайнер попал в шторм. Видео сняли пассажиры из каюты на третьей палубе.
Посмотрите как ощущается шторм вот на таком красавце.
Посмотрите как ощущается шторм вот на таком красавце.
[media=https://youtu.be/744fPLPanQI]
На 00:55 секунде смотрите, вообще жесть!
* * *
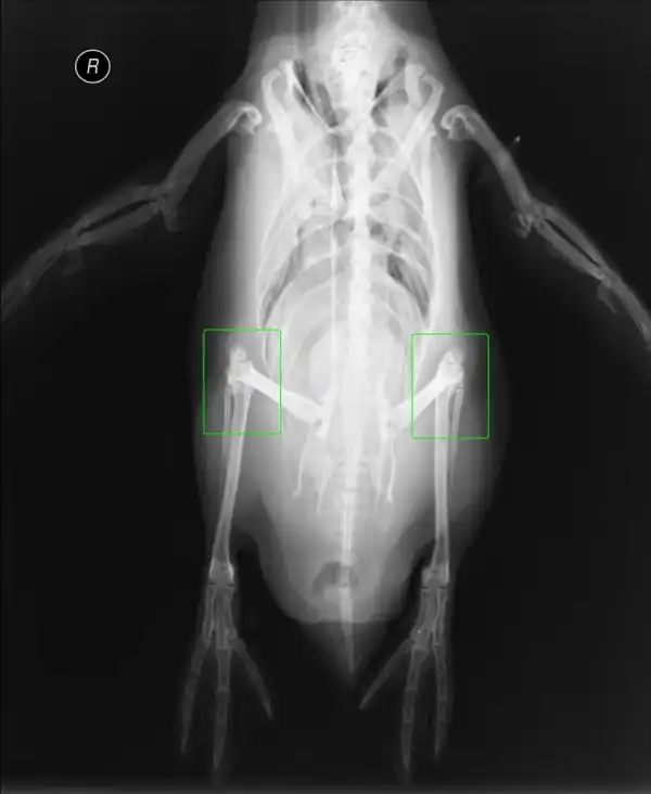
Есть ли у пингвина колени?
Все мы видим, что у пингвинов короткие лапки и они передвигаются так неуклюже, покачиваясь из стороны в сторону.
И вот вопрос: есть ли у пингвинов колени?
И вот вопрос: есть ли у пингвинов колени?
Наблюдая за пингвином, который переваливается с лапы на лапу, можно легко предположить, что у них нет коленей и они не могут «согнуть ногу». Но это вовсе не так! У пингвинов есть колени, просто они приспособлены именно для того, чтобы помогать им плавать и развивать скорость до 35 км в час. Вне воды большая часть лап скрыта толстым слоем оперения. На фотографии можно посмотреть скелет пингвина. На нём отчётливо видно, что нога имеет короткое бедро, колено, голень и малоберцовую кость.
Еще несколько интересных фактов про пингвинов
В природе существует около 40 видов нелетающих птиц. В том числе эму, киви и пингвин.
Самый крупный вид — Императорский пингвин. В высоту достигает 114 см, а вес до 45 кг.
Самый маленький вид — Малый пингвин (или синий пингвин). Рост взрослой особи всего 30 см, а вес до 1,5 кг.
Самый распространенный вид — Золотоволосый (златовласый) пингвин. Численностей насчитывает около 20 миллионов особей!
А самую малую численность имеет Великолепный (желтоглазый) пингвин. Их всего 4000 особей, живет в Новой Зеландии.
Большую часть жизни (около 75%) пингвины проводят в воде, но откладывают яйца на суше или льду.
Самец пингвина высиживает и сторожит яйца, самка охотится и приносит еду.
Раз в год пингвины полностью меняют своё оперение на новое. Этот период занимает 2-3 недели, в который они не могут охотиться. Поэтому откармливаются заранее.
Средняя продолжительность жизни составляет 15-20 лет.
* * *
Когда в аду прорывает канализацию...

* * *
КОНЕЦ

