Деликатесная паразитология: трихинеллез.
Гельминтозное заболевание, о котором вы вряд ли слышали, что не делает его менее интересным или менее заразным. Ведь как и в случае со всеми остальными паразитами, то что вы о них не знаете - ещё не означает, что у вас их нет сегодня или не может быть завтра. Традиционно, трихинеллы были поводом скорее для баек у костра в среде заядлых охотников, чем нашей повседневностью. Его, «паразитушки», традиционное распространение среди медведей и кабанов в дикой природе практически полностью вывело человечество из зоны риска. Статистика употребления медведей в пищу давно стало скорее отрицательной, они туристов больше жрут на Камчатке, чем мы их. Сейчас даже домашние свиньи могут похвастаться богатырским здоровьем, получше нашего и невероятными олимпийскими составами в крови. Всё, чтобы иметь накачанную розовую попку, максимально похожую на готовый бекон и вызывать у вас доверие.
Но, как всегда, мы нашли пару способов, как всё испортить... Мы решили вернуть всё, как было, и под девизом фермерства стали выращивать кабанов в полудиких условиях, свиней без антибиотиков и вне бетонных тюрем, а симпатичные тётеньки с улыбкой втюхивают одутловатым дяденькам, заглядывающим в декольте, сырокопченую колбаску из кабана и фермерские окорока.
Началось всё черте знает когда, амфициониды (медведесобаки) гоняли гиппарионов (вымершие непарнокопытные) по лугам и полям, подристывая на поворотах, неогеновый период кайнозойской эры шел своим чередом. Согласно генетическим исследованиям трихинеллы приблизительно в это лихое вот время и вошли в расцвет, начали глобальную экспансию по географическим признакам и научились менять хозяев, существенно расширив свои возможности по выбору носителей. И пока первые пуйилы (собакенобарсуки) страдали несварением, но упорно доедали последних продейнотериев (жутковатый тип с хоботом), трихинеллы развивались, вероятно, и в тех, и в других. Дальше было только хуже...
«...И сказал Господь Моисею и Аарону... ...только сих не ешьте из жующих жвачку и имеющих раздвоенные копыта... ...свиней, потому что копыта у них раздвоены и на копытах разрез глубокий, но они не жуют жвачки, нечисты они для вас, мяса их не ешьте к трупам их не прикасайтесь, нечисты они для вас...». Книга Левит, глава 11, стр.1-7.
Очевидно, запрет на свинину у некоторых религий имел под собой и медицинскую почву, основанную на наблюдениях. (Gould 1945; Lupascu et al. 1970). Подтверждение этой гипотезы у нас есть в том числе благодаря аутопсии египетской мумии из Нахт, которая датируется 13-ым веком до нашей эры. Менее явные следы цист нашли и в более старых мумиях. Примечательным является связь социального положения и трихинеллеза. Чем богаче были египтяне, тем больше цист в мумиях. Но изучение более древних останков человека будет бесполезным ввиду того, что цисты можно найти только в мышечных волокнах. А кроме мумий и музейного бекона, сыровяленого мяса с цистами биологам и медикам искать негде.
Тем не менее в истории человечества достаточно легко найти примеры спорадических вспышек. Вот к примеру в 4-ом веке, когда войска Карфагена под командованием Гимилькона осаждали мятежную Сицилию, «случился мор с дизентирией, у солдат начались острые боли во всех частях тела, упадок сил и разума». Некоторые западные ученые в этом описании видят непременно трихинеллез, а некоторые - нет. В принципе на протяжении истории такие явления, как понос и упадок сил, никогда не были редкостью. А с момента открытия в середине 19-го века трихинелл, многие пытались пересмотреть известные случаи (Bascome 1851 и Glazier в 1881) эпидемий, вписав их в картину заболевания. Например английскую потливую горячку - инфекционную болезнь неясной и загадошной этимологии, имевшую место быть в 1485-1551 гг. Периодически пытаются записать в самые разные диссертации. Но, собственно, до открытия трихинелл, это больше похоже на гадание по стулу. Жидкое и неуверенное. Всё изменилось с развитием микроскопии.
В 1821 году анатом и физиолог Гейдельберг Фридрих Тидеманн заметил при вскрытии трупа интересную картину, описав это так: «...в большинстве мышц, особенно в конечностях, имеются белые плотные образования. Они расположены прямо в пучках мышечных волокон, в клеточной ткани, часто на стенках артерий..».
В 1828 году, британский кардиолог Томас Пикок, при разделке трупа также обнаружил в мышцах гортани «мелкие костные точки». Но в то время невозможно было дать описание подробней ввиду отсутствия технических средств для этого.
Первооткрывателями, описавшими трихинеллез именно научно, были англичане Ричард Оуэн и Джеймс Пейджет, нашедшие личинок в мышце диафрагмы в 1835 году. Пейджет вообще был крайне талантливым и интересным человеком. Сын пивовара, начал обучение на хирурга и фармацевта, когда ему было 16 лет. В 20 лет опубликовали его книгу по истории, а Trichinella spiralis он нашел и описал, будучи студентом медиком, заметив её во время практических занятий. К пенсии он вообще получил юридическую степень и стал профессором физики, а его именем назвали кучу болезней от абсцессов и опухолей до болезни полового члена. Дело было так. (Джеймс слева, Ричард справа).
2 февраля 1835 года юный студент-медик Джим Пейджет присутствовал при вскрытии в лондонской больнице Святого Варфоломея трупа 40-летнего итальянского каменщика (Пауло Бьянки), умершего от туберкулёза. У покойника было известное патологоанатомам отклонение - «песчаная диафрагма». Мышечная ткань диафрагмы была испещрена белыми точками, твёрдыми как камень. Джима, в отличие от престарелых лекторов, эта патология заинтересовала особенно. Решив, что она имеет для смерти больного большее значение, чем простой нюанс, он задался целью это выяснить.
Проверить эту гипотезу можно было только с помощью оборудования, которого в больнице тогда не было от слова совсем. Собрав образцы на обеденном перерыве Педжет сбегал в Британский музей, в отдел зоологии, где, еле уговорив рабочий персонал, попытался рассмотреть цисты через самый мощный в стране микроскоп. Внутри кальцинированных капсул, как песок усеявших мышцы диафрагмы покойного мигранта, были черви.
В феврале 1835 года его открытие было анонсированно Абердинским сообществом (кружок медиков студентов, в больнице, где он проходил практику). Он уже подготовил сообщение для публикации в Медицинском вестнике Лондона (сохранилась даже рукопись). Но он её так и не отправил. Направившись за советом к Ричарду Оуэну, одному из ученых, профессоров и лекторов его универа, он в итоге отдал большую часть славы открытия коварному старикану. Впоследствии он рассказал брату, что, поговорив с профессором, передумал, так как у сэра Ричарда Оуэна больше опыта и оборудования для того, чтобы описать новый вид подробней и правильней перед подачей материала уважаемым мэтрам науки. Проще говоря, старый хрыч, пользуясь авторитетом, присвоил себе открытие.
В итоге мясные черви, как их тогда называли, получили имя Trichina spiralis от греческого thrix - “волосы” с легкой морщинистой руки Оуэна, хотя были открыты Джимми. Так началась научная карьера паразита.
Между 1860 и 1877 в Европе было зарегистрировано более 150 эпидемий (преимущественно в Германии), включая 3 800 случаев заболеваний и 281 смертельный случай. На самом деле, это статистический косяк науки того времени. В случае с только открытыми заболеваниями такой информации очень много. То, что раньше проходило как «смерть от поноса», с появлением новой информации стало классифицироваться на трихинелл, дизентерию, тиф и много-много нового. А от плохо прожаренной свинины и за сто лет до этого дристали насмерть. Вернемся в середину 19-го века. В это время в Померании жил и трудился замечательный немецкий физиолог и патологоанатом, большой фанат, любитель и специалист всяческих гистологий - Рудольф Людвиг Карл Вирхов. Гистология - это отщипнуть и посмотреть, если что. Он изучал самые разные болезненные сущности таких явлений, как тромбозы, эмболии, перерождение органов, появление новообразований, не смог он пройти мимо и бурно дриставших со свиных колбас соотечественников.
Именно ему принадлежит идея изучить забойных свиней через микроскоп. Чему сильно противились ветеринары того времени. Но Рудольф был человеком своего времени, усатый и напористый, настоящий немец. К примеру, к числу его политических высказываний относится мнение о том, что медицина - это социальная наука. В таком случае политика - глобальная медицина. В написании отчета о вспышке тифа в Верхней Силезии он утверждает, что проблему таких заболеваний невозможно решить путем лечения заболевших пациентов. Он обращает внимание на то, что без изменений в умах и законах невозможно изменить питание, жилье и одежду тех, кто заболеет в будущем. Что необходимо содействовать населению, развивая его интеллектуально, занимаясь образованием, развитием свобод и стремиться к достижению экономического процветания.
А ещё он как-то выступил за запрет операции на горле больного раком кайзера Фридриха III, после чего смерть канцлера повесили на него. Как член Deutsche Fortschrittspartei, наорал на Бисмарка, а когда тот вызвал его на дуэль, воспользовался правом выбора оружия и предложил биться на свиных колбасах, зараженных трихинеллами. На что сам Отто Эдуард Леопольд, участвовавший в 27 дуэлях, из которых его только в одной ранили, оцарапав щёку, сказал, что это слишком опасное дело, и предпочел помириться и завязать долгую и плодотворную дружбу с Людвигом.
После многочисленных анализов, сделанных свинкам, Вирхов смог продвинуть на законодательном уровне обязательную микроскопическую проверку мяса. В Германии ввели контроль за ветчиной (1866 год). Появился закон «О рейхс инспекции мяса». А с 1880 по 1891 годы разразилась Американо-Германская “свинюшная” война. Это было прямым результатом деятельности красавчика Вирхова и его колбасной дуэли. Свеже организованный санитарный надзор выявил, что американцы поставляют в Германию зараженных свиней, которых выращивают в плохих условиях, не соответствующих рейхс идеалам о колбасах, а дружба с железным Отто помогла запустить это в оборот. Был принят Антисвино-американский закон, и импорт звездно-полосатого бекона запретили. Европейцы тогда сильно удивились и стали узнавать у немцев, в связи с чем такая паника? После скрупулезных объяснений и демонстрации гистологических новшеств и argumenten Австро-Венгрия ввела такой же запрет в 1879 году, Франция в 1880, а затем и целый ряд европейских стран вслед за 3 китами.
Трихинеллы постепенно наводили панику. В 1874 году в Джэсси, где-то в Молдавии, польско-немецкая семья тяжело заболела после употребления свиных сосис на праздник. Трое погибли, остальных доставили в больницу. Дело попало в прессу. Пресса попала в больницу и раздобыла фото червей у учёных-медиков. Народ посмотрел, прикинул, как часто ест сосисы, и всем стало страшно, что у них под кожей ползают черви. На самом деле примерно так оно и было.
Посмотрим злу в глаза.
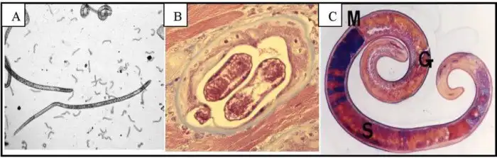
Всего науке известно 8 отдельных видов трихинелл. Они делятся в две группы по 5 и 3 червяка соответственно. Britovi, murelli, nativa, nelsoni, spiralis - инкапсулируются в мышцах, а papua, pseudospiralis и коварный zimbabwenis нет. Начинать с видового разнообразия приходится в связи с тем, что разные виды имеют разную специализацию. Britovi, например, доводит до аварийного всплытия крокодилов, murelli сводит с ума черных медведей, nativa - северный житель и любит арктических животных, вроде белых мишек, песцов и моржей. Ага, песец песца. Вот он. Nelsoni находят в Серенгети у ушастых лис, пятнистых гиен, летучих мышей, гепардов и леопардов. Лично мне кажется, что обидней поноса, если ты летучая мышь, ничего нет. Spiralis - наш клиент, наш и свинков. Мы похожи.
В отношении круговорота жизни T. spiralis мы - их максимальный успех. Обычно они вращаются в кругах куда скромнее. Типичный цикл завязан на грызунах и свиньях. В природе, например, дикий кабан - весьма брутальный представитель всеядной фауны. Ему начхать, мыши это, яйца, змеи, черви, орехи, крысы, фрукты, мелкие животные, иногда они вполне самостоятельно могут убить какое-нибудь другое животное и покрупнее. Это-то их и губит.
Если мы включаемся в процесс, мы просто заменяем собой одно из звеньев. Съев зараженный деликатес, в процессе переваривания мы пепсином и соляной кислотой снимаем с цисты трихинеллы оболочку. На это уходит всего 1 час. Через час начинается кишечная фаза заражения. 2 мм малыши, попав внутрь, начинают жить активной жизнью.
Молодая и полная сил личинка мигрирует в тонкую кишку с естественными потоками пищи. Там зарывается в слизистую передним концом тела и начинает расти. Линяет, жрёт и растёт. Линяет, жрёт и растёт. И так 4 раза. Вырастая в половозрелую особь за 3-4 суток, она начинают размножаться. К моменту размножения ее размер удваивается. После спаривания самцы галантно покидают ваше нутро, а самки остаются. Одна самка рожает до 2000 личинок. А это именно яйцеживорождение. Она производит сразу готовые личинки, так как процесс созревания от яйца до мини-особи проходит в половых путях. Малыши сразу готовы вас атаковать. Маман с вами жить не может и не будет. За 20-40 дней они выполняют свою задачу по размножению и выбрасываются наружу вместе с вашим стулом вслед за самцами - на верную смерть.
А вот малыши, попав в кишечник, не останавливаются на стенках, специальным заостренным стилетом пробуравливают его стенки и перемещаются в лимфатическую систему и кровоток. Примерно через 6 дней после инвазии начинается миграционная фаза трихинеллеза. По мелким капиллярам личинки разносятся в самые разные органы и места, от сетчатки до миокарда, пытаясь закрепиться. Для продолжения жизни им нужен новый дом - клетка. Для дома подходят не все типы клеток. Оптимальными являются только мышечные и то определенных групп. Маленькие упырики предпочитают мимическую, дыхательную, жевательную мускулатуру, диафрагму, сгибатели конечностей. В остальных частях тела личинки не приживаются.
Почему? Потому что вторжение в ваш организм посредством протыкания стенок кишечника стилетами не проходит совсем уж незамеченным. Просыпается иммунная система. Начинается эозинофилия - вырабатывается огромное число специфичных лейкоцитов. Но за 20 млн лет у червей было время приспособиться. Попав в клетку, личинка изменяет её активность, превращая её в собственный мини-инкубатор. Это называется клетка-кормилица. И если в нормальной цитологии таким термином называют клетки, отвечающие за доступ питательных веществ и образование капилляров к нужнейшим местам, например, для созревания эритроцитов в костном мозге, то конкретно в случае с трихинеллой это уникальный механизм маскировки и питания. (На фото трихинеллы в мышечной ткани).
Внедрение внутрь мышечной клетки и постоянное поглощение питательных веществ приводит к ответной реакции в виде ангиогенеза. Организм решает, что ткань повреждена и ей нужно дополнительное питание для регенерации и восстановления повреждений. Ангиогенез, к слову, лежит в основе многих процессов, от метастазирования злокачественных опухолей до ликвидации тромбов, рубцевания и снятия воспаления. Попав внутрь клетки, падла останавливает все процессы, запуская по кругу цикл восстановления для собственного питания, увеличивается в размерах примерно в 10 раз и ждёт, пока вас кто-то съест. Если этого не происходит, примерно через полгода начинается процесс глубокой консервации. Циста обрастает кальцием, но кальцинированная оболочка всё ещё пропускает питательные вещества, и паразиты чувствуют себя прекрасно, сохраняя жизнеспособность до 20, а по некоторым данным до 40 лет.
Что вас ждёт? В период от 1-2 суток с момента приема в пищу чего-то нехорошего, но вкусного и дорогого, до недели есть некоторые шансы встретить такие банальные и скучные симптомы как тошноту, изжогу, симптомы гастрита, наиболее «везучие» раскрасят рабочие будни острой диареей. Это связано с размножением гельминтов и реакцией организма на их присутствие в кишечнике. Привет стадия инвазии.
Позднее, дней через 10 минимум вас ждёт стадия диссеминации: в зависимости от типа случайных миграций можно испытать головные боли, лихорадку, озноб, кашель, боли в мышцах. Но связать их с употреблением свинины или другого мяса будет всё сложнее из-за возрастающего временного промежутка между попаданием паразита в организм и вашими симптомами. Возможны аллергеческие высыпания, отеки лица, сыпь, зуд, температура. Это червячки расползаются и вызывают аллергию. В большинстве мест ваш организм успешно их атакует, и они умирают. Но если вам не повезло, и засранцы забрались в дыхательную, сердечно-сосудистую, центральную нервные системы, их смерть может оказаться фатальной и для вас, вызвав тяжелые поражения органов, как, например, паралич дыхательных путей. А ещё они могут, например, мигрировать в мышцы глаза, что сопровождается отеком, экзофтальмом и птозом.
Застряв в ваших мышцах, если это, конечно, были не глаза или сердце, они попричиняют вам некоторое неудобство в виде межреберных или мышечных болей, а затем успешно закальцинируются и будут ждать и надеяться, что вас ктоннибудь убьет и съест, и тогда они повторят цикл. Если не повезло с выбором мышцы, можно умереть. Особенности цикла, а ведь он простой, и в нём нет ни толпы разных видов, ни коварных личинок в воде и воздухе, прямо-таки склоняют к определенным мерам. Чтобы, например, свинья заболела, ей надо съесть больную свинью или крысу. Казалось бы... не кормить свиней больными крысами... Для этого придумали дератизацию, загоны с промываемым полом, а свинок в итоге растят почти стерильными, здоровыми и розовощекими и розовопопыми. Всё могло быть просто...
Но перенаселение с одной стороны и капитализм с другой постоянно требуют выращивать больше и дешевле. Любителям деликатесов и маркетированной природы подавай свиней свободного выпаса и колбасу из кабана. Скажете: “Ну и ладно, нафиг эту свинину?” К несчастью, трихинеллы сильно продвинулись в этом плане...
Вы когда нибудь видели кочевника с поносом? А могли бы. Если, например, лошадь съест зараженное мясо (нет, они не едят свиней). Ну корм ей дадут самый дешевый, но питательный, с добавлением натуральных белков, результат будет тот же... Первая задокументированная вспышка с кониной произошла в Италии и была в октябре 1975 года, затронула 89 человек. Животное доставили из Югославии и съели в Баньоло. Во Франции - 125 человек, пригород Шатенаи-Малабри, окрестности Парижа. Животное из Восточной Европы. Единственная туша. Франция 1985 год, Мелуни, регион Иль-де-Франс, 431 заболевший, 1990-ый - 500 заболевших, Барлетто, Италия, 1994, 1999, ну и так далее, вплоть до наших дней, и это только территория Европейского союза и только конина .
Со времен старика Оуэна и Джимми Пэджета, железного Отто и усатого Вирхова особенно ничего не изменилось. Свинки по-прежнему после смерти должны сдавать экзамен на трихинеллез, где специально выбранный кусок мяса подвергают процедуре искусственного переваривания и смотрят на него через трихинеллоскоп в поисках маленьких засранцев. Но, увы, этот метод не даёт стопроцентной гарантии. Гибели личинок можно уверенно добиться только нагревом. Вид T.nativa, например, морозить почти бесполезно, а соление и сушку они вообще все переносят на ура и снова здравствуйте. Отдельная тема это миграции глобализованного мира, те же T.pseudospiralis не образуют капсулы, и не могут быть обнаружены трихинеллоскопией, однако успешно осваивают тушки диких кабанов повсеместно. Та же проблема и с официальной статистикой... Если вы не профессиональный охотник и не ходите с ружьем и бородой в шкуре убитого вами медведя по больнице, редкий терапевт в наше время заподозрит в вас россыпь кальцинированного песка цист и тысячи червей в мышечных тканях...












