Доказательства эволюции, которые демонстрирует человеческое тело
Конечно, приверженцам теории божественного и одномоментного происхождения неприятно это осознавать. Но эволюция была и есть.
И отпечатки носит человеческое тело, наглядно доказывающее медленно происходящие изменения.
Ладонная мышца
Длинная ладонная мышца необходима была нашим предкам для того, чтобы хват был более крепким, и можно было легче и быстрее перемещаться с дерева на дерево, хватаясь за ветки.
Гусиная кожа
При ознобе или страхе кожа покрывается характерными пупырышками – гусиной кожей. То есть это такая реакция организма на любой внешний раздражитель. Представляет собой пиломоторный рефлекс, в результате которого происходит сокращение гладкой мускулатуры волосяных фолликулов.Волосы на голове – это тоже некоего рода рудимент. А оставшиеся на теле волоски, которые покрывают всю площадь за исключением подошв стоп и ладоней, сохранились в том же количестве, просто стали более тонкими и светлыми. Некоторые малыши даже рождаются с «эволюционным приветом»: их тело покрывает довольно густая поросль, которую быстро сменяют младенческие пушковые волоски.
Мужские соски
Фактически свидетельство перехода от бесполого размножения к половому. Последнее – явление сложное, но эволюционно оправданное: такие организмы несут в себе больше генов и, соответственно, лучше приспосабливаются к условиям окружающей среды.
Копчик
Этот рудиментарный орган – остаток хвоста, который был необходим нашим древним предкам для хорошего баланса. Каждый зародыш обладал хвостиком в период 31-35 дней с момента зачатия. Потом он изменяется, превращаясь в несколько сросшихся позвонков.
Аппендикс
После перехода преимущественно к мясному рациону кишечник наших предков изменился, стал короче. А слепой отросток, который задействовался при переваривании растительной пищи, становится все меньше и короче. У некоторых детей он уже напоминает небольшой пупырышек-вырост. Впрочем, удалять аппендикс без показаний, как это было массово у детей в определенный момент, тоже не нужно. Бездумное вмешательство приводило к ослаблению иммунитета, в результате чего дети болели и нередко погибали.
Мышцы ушей
Вероятно, отголосок прошлого, когда люди шевелили ушами, чтобы лучше распознать приближение врага или хищника. По статистике мужчины вдвое лучше умеют шевелить ушами. Что, видимо, связано с охотничьими навыками из прошлого. Но при желании эту способность может развить каждый. Нужно лишь желание и время для тренировок.
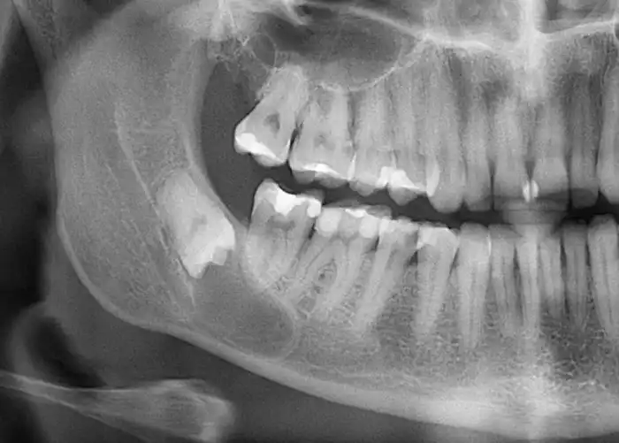
Зубы мудрости
Необходимы были для более качественного пережевывания грубой пищи. Стали пропадать опять же из-за смены рациона питания. Мясо стали перерабатывать. Необходимость в мощных челюстях для перемалывания корней и жестких стеблей отпала. И зубы мудрости, которые сейчас в том или ином количестве имеются у половины населения, постепенно исчезнут совсем.





















