Мини-чат
Или войти с помощью
27

Редкое заболевание превращает женщину в античную статую

все теги

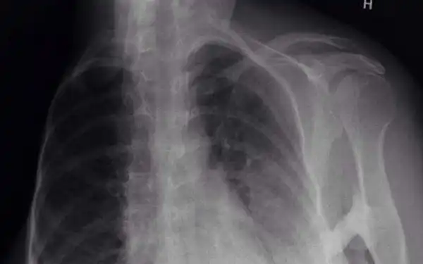
Оссифицирующая прогрессирующая фибродисплазия поразила около 800 человек по всему миру. В результате заболевания мышечная ткань превращается в кости. Эшли Курпил знает о всех "прелестях" фибродисплазии не по наслышке - она медленно, но верно превращается в статую. И лечения нет.
Женщина уже потеряла свою правую руку и подвижность в правой ноге. Но несмотря на это, она продолжает жить полноценной жизнью.


























@uCrazy_org
Комментарии3
  1. adalfans
    На uCrazy 10 лет 8 месяцев
    Ну могу только долгих лет жизни пожелать! Не теряет оптимизма - круто! )
  2. svy
    На uCrazy 14 лет 4 месяца
    Наверняка её родители-состоятельные люди, иначе одного лишь оптимизма надолго бы не хватило.
  3. Толькин
    На uCrazy 10 лет 6 месяцев
    долгих лет жизни? хмм..ну не знаю.если так и будут ампутировать конечности может лучше ударная доза снотворного?
Поддерживаются прямые ссылки на изображения, а также ссылки на youtube, rutube, vk video, giphy, coub, tenor, t.me и т.д.

{{PM_data.author}}

{{alertHeader}}