Мини-чат
Или войти с помощью
135
4
4
[ПчелкО]
Жесть

Возможно, это неприятный контент

Этот CRAZY пост содержит контент, который может показаться некотрым людям неприятным или оскорбительным. Нажимая, вы подтверждаете, что ваш возраст не менее 18 лет и вы даете согласие на просмотр. Для отключения уведомления авторизируйтесь или зарегистрируйтесь на сайте.

Смотреть

Убойные рентгеновские снимки

Жесть
все теги


Как страшно жить...

Маленький ребенок проглотил иголку. Она прошла через весь желудок и вышла там,
где и должна была.

Родители только тогда ее и заметили, и отвезли малыша в больницу



Пациент со стеклянной цилиндрической мензуркой в анусе. На уроках химии такого
не проходили


Стопка для шотов. В анусе. Зачем ее туда засунули? ))


Парень держал в руке самодельную взрывчатку, та взорвалась


Огромный вибратор в заднице. Залез полностью. Без хирургического вмешательства
достать не смогли. Больные люди...


Убийство. Множественные выстрелы в голову


Человек сидел на переднем пассажирском сиденье в автомобиле, закинув ноги на торпеду,
в том месте, где находится подушка безопасности.
Произошла авария на скорости 40 км/ч, сработали подушки.... Вот так была сломана
ступня. Водитель не пострадал.
Я больше никогда туда не положу ноги


Ранения дробью в голову


У человека в бедре были металлические стержни, которые ему поставили после аварии
на мотоцикле.
После еще одной аварии от очень сильного удара стержень разорвало.


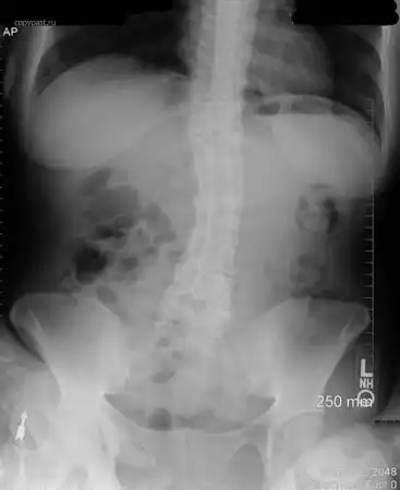
Человек проглотил зубную щетку. Справа в верхней части видна ее головка


Ну и самая жесть. Был найден мешок для мусор предположительно с останками человека.
Рентген это и показал

@uCrazy_org
Комментарии61
  1. MOCHI
    На uCrazy 18 лет 4 месяца
    жестьтоко,гадость
  2. Djoko^_-
    На uCrazy 19 лет 7 месяцев
    бееее, дух перехватило от вибратора в жопе, так глубоко ОО
  3. link
    На uCrazy 19 лет 9 месяцев
    Как же всетаки интересен наш внутренний мир))
  4. Борич
    На uCrazy 18 лет 7 месяцев
    эххэй я первый, да блин, просто хоть из дома не выходи
  5. Kenay
    На uCrazy 18 лет 9 дней
    Это в жесть))
  6. Hard_Man
    На uCrazy 17 лет 10 месяцев
    классный пост автор молодца
  7. [Flar]
    На uCrazy 18 лет 6 месяцев
    Гхм. Странные люди бывают. 5.
  8. Алхимик
    На uCrazy 17 лет 11 месяцев
    Hard_Man,
    Ага воще жесть полнейшая !!!!
    Hard_Man а у тебя теперь два брата по разуму biggrin ? Гляжу постов заготовил штук 10 biggrin Интерестные хоть ?
  9. slava2008
    На uCrazy 17 лет 11 месяцев
    Цитата: Пост
    Человек проглотил зубную щетку. Справа в верхней части видна ее головка
  10. MeNd0zZa
    На uCrazy 18 лет 8 месяцев
    ...мде...жестко...но про предметы в заднице смотреть без смеха трудно...
  11. Lara_Kroft
    На uCrazy 17 лет 11 месяцев
    это не смешно, это страшно...
  12. Quicknick
    На uCrazy 19 лет 6 месяцев
    пипец че токо в жопу не суют. смерть гомосекам! death death death
  13. spyker
    На uCrazy 19 лет 7 дней
    жесть
  14. Pip_boy
    На uCrazy 17 лет 10 месяцев
    есиф честно, у Vosarata такое уже было sad
  15. Augen_Ach...
    На uCrazy 19 лет 6 месяцев
    Цитата: gadzilas
    дух перехватило от вибратора в жопе

    lol
    Цитата: Pip_boy
    есиф честно, у Vosarata такое уже было

    вибратор в жопе?) или головка зубной щетки? naughty crybaby
  16. EricValentine
    На uCrazy 17 лет 10 месяцев
    Про предметы в попе немало историй существует.
    Что только люди туда не суют: не только фалоиметаторы, вибраторы, анальные стимуляторы, анальные втулки (в принципе, эти вещи для того и преднозначены), но текже и флаконы от шампутей и всякую пенисоподобную ерунду.
    Я бы даже не проч посмотреть статистику: эдакую десятку предметов, которые чаще остальных оказываются в заднице.
  17. vivere
    На uCrazy 18 лет 6 месяцев
    бывает же такое...
  18. Martin_Iden
    На uCrazy 17 лет 11 месяцев
    ну на я больше самодельную взрывчатку в руки не возьму
  19. perfection
    На uCrazy 18 лет 7 месяцев
    Человек сидел на переднем пассажирском сиденье в автомобиле, закинув ноги на торпеду,
    в том месте, где находится подушка безопасности.
    Произошла авария на скорости 40 км/ч, сработали подушки.... Вот так была сломана
    ступня. Водитель не пострадал.
    Я больше никогда туда не положу ноги
    я тоже!!!!!!!!
    я единственного не понимаю - на хрен засовывать всякие штуки в анус? стопки, мензурки.... пипец!!
  20. Pip_boy
    На uCrazy 17 лет 10 месяцев
    Цитата: Augen_Ach...
    вибратор в жопе?) или головка зубной щетки?
    ай-ай-ай!!! я имел в виду ПОСТ такой был!!!!!!!!!!!!!!!!!!
  21. Мракобеска
    На uCrazy 19 лет 2 месяца
    ужасть
  22. SpinnerPro
    На uCrazy 17 лет 10 месяцев
    Интересно, почему в посте не присутствовали анальные бутылки? biggrin
  23. Knower
    На uCrazy 17 лет 10 месяцев
    Да повидаешь такого, а представьте какого врачам, особенно хиургам, наверно психика хорошая.
  24. MaXeZ
    На uCrazy 18 лет 9 дней
    Виброужас , или смерть от фалоиметатора lol death
  25. Krause
    На uCrazy 19 лет 8 месяцев
    Это боян...
  26. -Егорчик-
    На uCrazy 18 лет 11 месяцев
    стеба biggrin
  27. Dezik
    На uCrazy 18 лет 11 месяцев
    хехехехе)зачот)
  28. P-u-M-b-A
    На uCrazy 17 лет 11 месяцев
    Это че надо было делать,чтобы щетка в горле застряла???
  29. Серафима
    На uCrazy 17 лет 10 месяцев
    Обидно, я не нашла на снимке головку зубной щётки sad
    Но пост любопытный 5 однозначно thumbup
  30. Vaduha
    На uCrazy 17 лет 11 месяцев
    фигня какаета thumbdown
  31. Лунный_Лис
    На uCrazy 19 лет 1 месяц
    чёто многовато люди стали себе всякой фигни в анус сувать biggrin
    555)
  32. rfhfv,f
    На uCrazy 18 лет 8 дней
    Да нет слов!!!
  33. Sabino4ka
    На uCrazy 19 лет 4 месяца
    иногда мне кажется что люди самые тупые существа...ужс... hmm
  34. Given_up
    На uCrazy 18 лет 7 месяцев
    Цитата: Sabino4ka
    иногда мне кажется что люди самые тупые существа...ужс...

    точно =)
    че там тока не найдут порой =)
  35. Kamikadzya
    На uCrazy 19 лет 2 месяца
    чумовые снимки!
  36. SiraX
    На uCrazy 18 лет 8 месяцев
    Это надо в фотоподборки. Как так можно зубы чистить что бы щетку проглотить??
  37. KPEBEDKO
    На uCrazy 18 лет 9 дней
    мда по ним фотоподборка плакает
  38. shloc
    На uCrazy 18 лет 7 месяцев
    я в больничке работала к нам и похлеще привозили thumbup thumbup
  39. Escape
    На uCrazy 19 лет 6 месяцев
    почему на последней фотке не скейтерские кросы ? низачет thumbdown
  40. Allyonka
    На uCrazy 18 лет 7 месяцев
    еще бы понимать что в них сренгенировано)))
  41. G_MAN
    На uCrazy 18 лет 9 месяцев
    жесть...
  42. xyz
    На uCrazy 18 лет 11 месяцев
    интересно..
  43. CarTmaN
    На uCrazy 19 лет 3 месяца
    больные и пострадавшие-_-
  44. Matthew
    На uCrazy 18 лет 1 месяц
  45. goldenboy
    На uCrazy 18 лет 1 месяц
    Интересно
  46. Вкусняжка
    На uCrazy 17 лет 11 месяцев
    жестоко,че толькл в себя люди не пихают)хахахаха
  47. Merculian
    На uCrazy 17 лет 11 месяцев
    Насчёт вибратора, что так сложно найти пацана чтобы заняться сексом
  48. 777137
    На uCrazy 18 лет 6 месяцев
    заепали рейтинг выкладывать
  49. `Roxie`
    На uCrazy 17 лет 9 месяцев
    БУГАГА)))
  50. Lagi
    На uCrazy 18 лет 4 месяца
    Насчет постороних предметов в анусе: мне знакомый рассказывал у него родственик в травмпункте работает, преимущественно в ночную смену, так с такими случаями привозили довольно часто, но самое ржачное было: это когда молодой ээээ "пацан" засунул морковку в жoпу, а когда стал вытаскивать ботва оборвалась...
  51. DeFka
    На uCrazy 17 лет 10 месяцев
    ого.......хватает же психов!
  52. Cheetos
    На uCrazy 18 лет 6 месяцев
    п*здец!!! вибратор в жопе!!! нет что б по человечески с мужиком!!!!
  53. Зоська
    На uCrazy 17 лет 8 месяцев
    всяко бывает
  54. Bkost
    На uCrazy 17 лет 11 месяцев
    Я кроме последних фото,громко смеялся над глупостью человечества,особенно над вибратором я оч громко поржал мвахахахаха lol
  55. gackt
    На uCrazy 18 лет 3 месяца
    ОХРЕНЕТЬ
  56. DeceinnimB
    На uCrazy --
    Приветствую. Собираюсь вот отдохнуть зарубеж. Поведайте, пожалуйста, как вы руководите вашим блогом, когда находитесь в разъездах?! знакомства проститутки знакомства проститутки знакомства краматорск знакомства краматорск псков знакомства псков знакомства ноябрьск знакомства ноябрьск знакомства знакомства глухих знакомства глухих ася знакомства ася знакомства аврора знакомства аврора знакомства знакомства нижнекамск знакомства нижнекамск знакомства аська знакомства аська знакомства евреи знакомства евреи знакомства латвия знакомства латвия знакомства липецк знакомства липецк знакомства германия знакомства германия познакомиться молодым познакомиться молодым знакомства зарубежом знакомства зарубежом знакомства ия знакомства ия девочки знакомства девочки знакомства знакомства металлистов знакомства металлистов котлас знакомства котлас знакомства знакомства ола знакомства ола
  57. sleept
    На uCrazy --
    Спасибо...так обстоятельно изложено...я даже сохранила)))
  58. Моисей Едакин
    На uCrazy --
    для тебя смотреть порно фильм в интернете
  59. Явашрот ебал
    На uCrazy --
    я себе бы в жопуБвас засунул! извращенцы
  60. Иннокентий Мухин
    На uCrazy --
  61. Евгений Пасканный
    На uCrazy --
    Как создать информационный бизнес: Скачать порно. Финансовая независимость.
Поддерживаются прямые ссылки на изображения, а также ссылки на youtube, rutube, vk video, giphy, coub, tenor, t.me и т.д.

{{PM_data.author}}

{{alertHeader}}