Мини-чат
Или войти с помощью
59
2
2
DELETE_1
Жесть

Возможно, это неприятный контент

Этот CRAZY пост содержит контент, который может показаться некотрым людям неприятным или оскорбительным. Нажимая, вы подтверждаете, что ваш возраст не менее 18 лет и вы даете согласие на просмотр. Для отключения уведомления авторизируйтесь или зарегистрируйтесь на сайте.

Смотреть

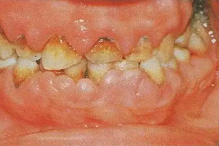
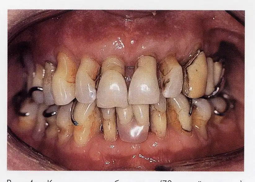
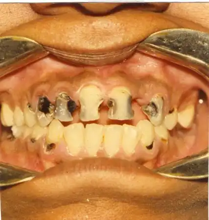
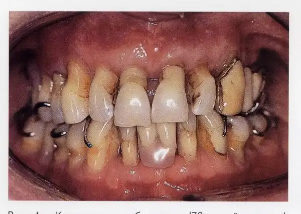
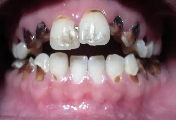
Минусы профессии стоматолога...

Жесть
все теги

Минусы профессии стоматолога...


Смотрим подкатом...

Минусы профессии стоматолога...




















































































































@uCrazy_org
Комментарии15
  1. ivsexxxlove
    На uCrazy 13 лет 9 месяцев
    страшно представить работу проктолога hmm
  2. gordi_ptic
    На uCrazy 13 лет 9 месяцев
    Фу бл*дь!чистите зубы два раза в день smile
  3. jekob
    На uCrazy 15 лет 1 месяц
    Походу там несколько фоток явно трупов sick
  4. Glavbuh
    На uCrazy 15 лет 6 месяцев
    ёбанаврот. не рот, а помойка
  5. Badi
    На uCrazy 18 лет 11 месяцев
    НАХРЕН Я СЮДА ЗАЛЕЗ
  6. Totoshander
    На uCrazy 18 лет 2 месяца
    Badi, и не говори, чувак...

  7. Реактор
    На uCrazy 13 лет 2 месяца
    Чистите зубы Блен а Медом , и зубы чище, и яйца крепче
  8. Semei
    На uCrazy 15 лет 8 месяцев
    только поесть села
  9. ROMA98
    На uCrazy 12 лет 11 месяцев
    Опарышей в своей практике еще не встречал... А так большенство на удаление, к хирургу!
  10. intlay13
    На uCrazy 13 лет 9 месяцев
    трупаки наверное fualofel
  11. Bолк
    На uCrazy 18 лет 10 месяцев
    ROMA98,
    теперь мне стала понятна фраза : мухи во рту *буца
  12. Succubus
    На uCrazy 12 лет 6 месяцев
    Как?!! Как они сделали такой ужас со своими зубами?!!
  13. margus2903
    На uCrazy 12 лет 8 месяцев
    ну вот как?! ну вот как можно развести во рту червей???
  14. igaza
    На uCrazy 13 лет 9 месяцев
    брррр....надо Срочно записаться к зубному х_х
  15. mixa88
    На uCrazy 11 лет 4 месяца
    Е*ть!!!! ЧЕРВИ ТАМ!!! bad
Поддерживаются прямые ссылки на изображения, а также ссылки на youtube, rutube, vk video, giphy, coub, tenor, t.me и т.д.

{{PM_data.author}}

{{alertHeader}}