Как возят наркотики внутри себя
На первый взгляд эти фотографии выглядят, как обычные рентгеновские снимки.
Но если присмотреться, то можно увидеть необычные контейнеры.
Именно так и перевозят небольшие партии наркотиков внутри себя.
Иногда контейнеры открываются внутри человека и лошадка, а так называют подобных курьеров, умирает.
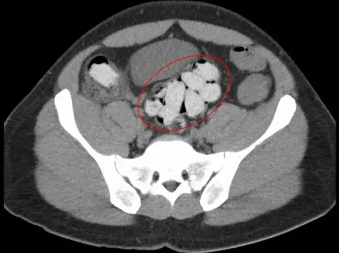
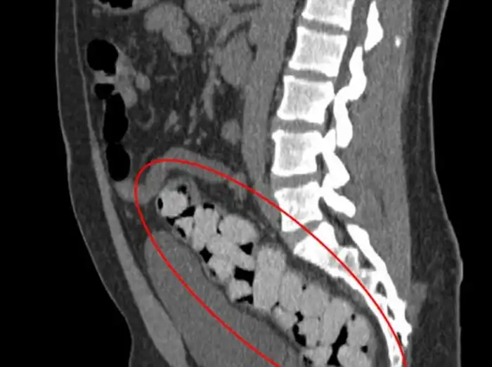
20 контейнеров с наркотиками в толстой кишке
Пакетики с кокаином под языком

Девять пакетов кокаина

Эти цветные пакетики наркотиков находятся в толстой кишке

Попытка провезти кокаин под языком

100 пакетиков кокаина в желудке

Наркотики в толстой кишке

Одна часть кокаина под языком, а вторая в желудке
















