Мини-чат
Или войти с помощью
12

Что может оказаться в желудке собаки

Фотографии
все теги

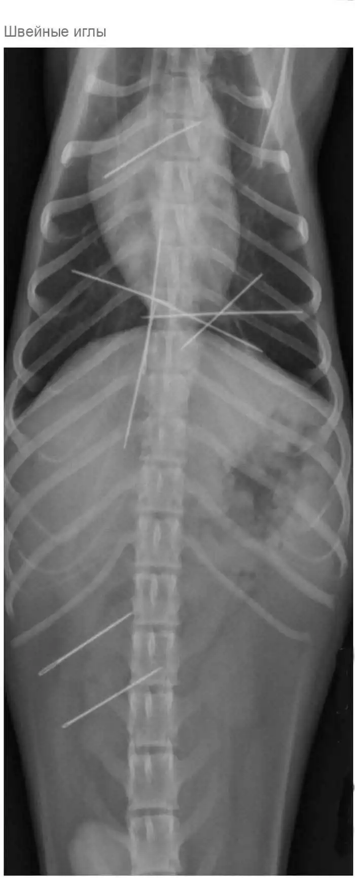
Думаю, всем собачникам известно, что порой у собак бывают такие заскоки, когда они в прямом смысле слова жрут все подряд.

Что может оказаться в желудке собаки

Что может оказаться в желудке собаки



































@uCrazy_org
Комментарии1
  1. mamavl
    На uCrazy 12 лет 11 месяцев
    У меня один вопрос: КАК? hmm
Поддерживаются прямые ссылки на изображения, а также ссылки на youtube, rutube, vk video, giphy, coub, tenor, t.me и т.д.

{{PM_data.author}}

{{alertHeader}}