Мини-чат
Или войти с помощью
21

Необычные предметы в теле людей на рентгеновских снимках

Фотографии
все теги

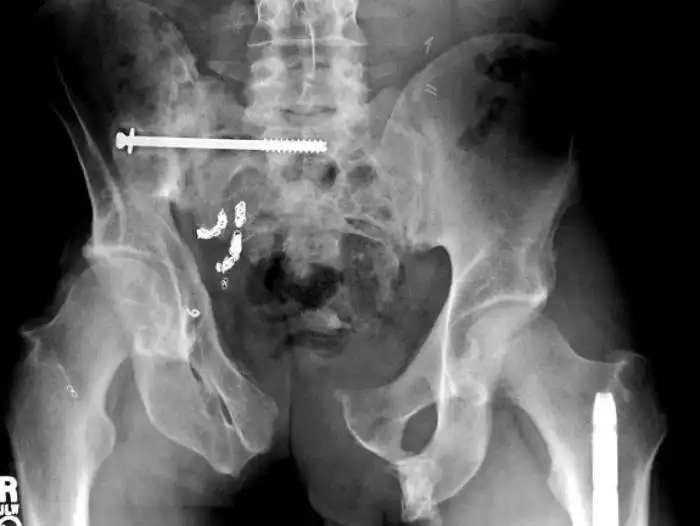
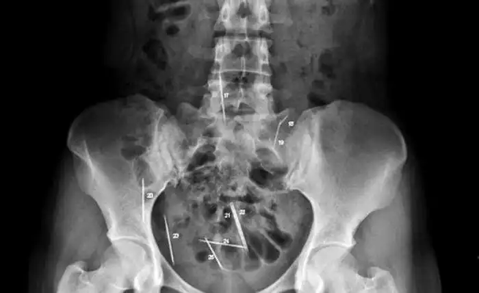
На рентгеновских снимках людей порой можно обнаружить самые необычные предметы, которые находятся в их теле.

Необычные предметы в теле людей на рентгеновских снимках

Необычные предметы в теле людей на рентгеновских снимках







































































@uCrazy_org
Комментарии5
  1. morgan1111
    На uCrazy 14 лет 29 дней
    Еадо свой снимок выложить. У меня в ноге и саморез и спица и скобы!
  2. Makcumyc
    На uCrazy 11 лет 7 месяцев
    Жуть..
  3. 6aHguT
    На uCrazy 19 лет 8 месяцев
    Человечество явно с гвоздями не дружит!!! Что не снимок то гвоздь в башке!
  4. Geralt
    На uCrazy 13 лет 10 месяцев
    Как сказала бы та фигурка База Лайтера в малом тазу(11е фото) : в бесконечность и далее.
  5. wowus1968
    На uCrazy 11 лет 11 месяцев
    Цитата: 6aHguT
    Человечество явно с гвоздями не дружит!!! Что не снимок то гвоздь в башке!

    мозг от этого не страдает
Поддерживаются прямые ссылки на изображения, а также ссылки на youtube, rutube, vk video, giphy, coub, tenor, t.me и т.д.

{{PM_data.author}}

{{alertHeader}}