Мини-чат
Или войти с помощью
37
2
2

Невероятная удача.

Фотографии
все теги

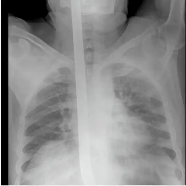
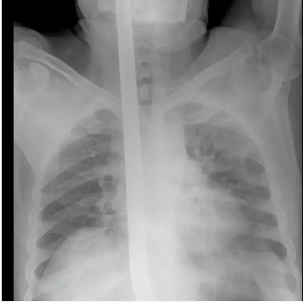
Мужчина упал на лом не повредив жизненно важных органов, говорят после операции выписан в удовлетворительном состоянии домой.

Невероятная удача.

Невероятная удача.








@uCrazy_org
Комментарии9
  1. Loshad
    На uCrazy 15 лет 10 месяцев
    Счастливчик 80 уровня, на снимках и правда видно ни мозг, ни глотку не повредил, везунчик.
  2. Юрчик
    На uCrazy 12 лет 10 месяцев
    афигеть, жаль что большинство склыдвается не так удачно
  3. kaa
    На uCrazy 10 лет 11 месяцев
    еще один вопрос возникает...КАК???? и ЗАЧЕМ???
  4. Arrow
    На uCrazy 19 лет 9 месяцев
    нехрен было залупаться на гордона фримена
  5. SanGReaL
    На uCrazy 17 лет 11 месяцев
    Везунчик! Упал на лом, какое везение! У него кличка лаки, наверное. Он могу упасть куда угодно, но упал именно на лом и именно так, что тот воткнулся в него по самое не балуй. Вот это везение.
  6. remiz
    На uCrazy 16 лет 9 месяцев
    Я наверное что то не понимаю, но этот везунчик нашел лом с тремя разными концами, Рентген головы явно не подходят к фоткам мужика, у него оба конца лома наружу торчат.
  7. Тигруля
    На uCrazy 11 лет 10 месяцев
    Какие ещё оба конца, 3 раза пролистала, то что вы имеете в виду так и не поняла. На всех фотографиях включая рентген пикой внутрь раздвоенной частью наружу.
  8. Бухарик
    На uCrazy 11 лет 10 месяцев
    Цитата: remiz
    Я наверное что то не понимаю, но этот везунчик нашел лом с тремя разными концами, Рентген головы явно не подходят к фоткам мужика, у него оба конца лома наружу торчат.

    Тоже долго башку ломал, пока не дошло - на второй фотке они уже извлеченный лом сверху на простыню положили
  9. Тигруля
    На uCrazy 11 лет 10 месяцев
    Цитата: Бухарик
    Цитата: remiz
    Я наверное что то не понимаю, но этот везунчик нашел лом с тремя разными концами, Рентген головы явно не подходят к фоткам мужика, у него оба конца лома наружу торчат.

    Тоже долго башку ломал, пока не дошло - на второй фотке они уже извлеченный лом сверху на простыню положили

    Ну да, так и есть. О каких разных концах тогда речь идет у REMIZ dntknw
Поддерживаются прямые ссылки на изображения, а также ссылки на youtube, rutube, vk video, giphy, coub, tenor, t.me и т.д.

{{PM_data.author}}

{{alertHeader}}