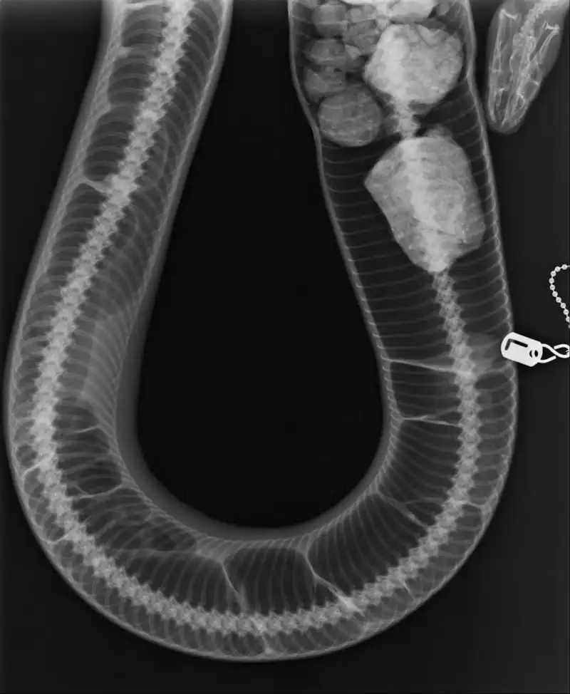
Питон долго не ходил в туалет, и дерьмо внутри него окаменело
Восьмилетнего самца питона по кличке Лилл хозяин принес в ветеринарную клинику по причине того, что он не опорожнялся по-большому на протяжении года. С питанием и мочеиспусканием проблем не было, а вот дерьмо пробыло в кишечнике настолько долго, что фактически превратилось в камни.
Когда массаж и клизма не помогли, ветеринары сделали пресмыкающемуся операцию.













