Мини-чат
Или войти с помощью
35

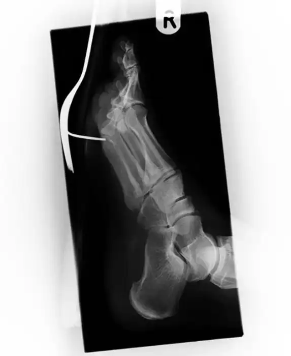
Жуткие рентгеновские снимки

Фотографии
все теги

Порой даже не верится, с какими странными и необычными повреждениями в травматологию могут поступить пострадавшие. Всю эпичность профессии врачей травматологии могут с легкостью подтвердить рентгеновские снимки.

Жуткие рентгеновские снимки

Жуткие рентгеновские снимки









































@uCrazy_org
Комментарии6
  1. Scodira
    На uCrazy 11 лет 5 месяцев
    У меня тоже есть такой). Прошила палец на машинке, а кончик иглы вошел в кость пальца и сломался...
  2. Neolit
    На uCrazy 15 лет 10 месяцев
    жуть.
  3. Zaggan
    На uCrazy 11 лет 11 месяцев
    Как минимум бОльшая часть этих снимков постановка, если не все =\
  4. Geralt
    На uCrazy 13 лет 10 месяцев
    с оторванным пальцем уже не впечатляет, дурных детишек с такими травматическими ампутациями пальцев на работе насмотрелся и назашивался. Часть снимков с фатальными травмами. А с последней не понял. Ну тень средостения, ну загазованная толстая кишка, ничего патологического по костной системе не увидел, только в 10м межреберье слева хрень какая-то сеточкой.
    Картинка с гвоздем в средней фаланге третьего пальца кисти похож на подделку, но кто знает может забил гвоздь по мягким тканям.
  5. Рицин
    На uCrazy 11 лет 6 месяцев
    Цитата: Geralt
    с оторванным пальцем уже не впечатляет, дурных детишек с такими травматическими ампутациями пальцев на работе насмотрелся и назашивался. Часть снимков с фатальными травмами. А с последней не понял. Ну тень средостения, ну загазованная толстая кишка, ничего патологического по костной системе не увидел, только в 10м межреберье слева хрень какая-то сеточкой.
    Картинка с гвоздем в средней фаланге третьего пальца кисти похож на подделку, но кто знает может забил гвоздь по мягким тканям.
    на последнем, по моему бутылка
  6. Geralt
    На uCrazy 13 лет 10 месяцев
    Цитата: Рицин
    на последнем, по моему бутылка

    о теперь пригляделся увидел)
Поддерживаются прямые ссылки на изображения, а также ссылки на youtube, rutube, vk video, giphy, coub, tenor, t.me и т.д.

{{PM_data.author}}

{{alertHeader}}