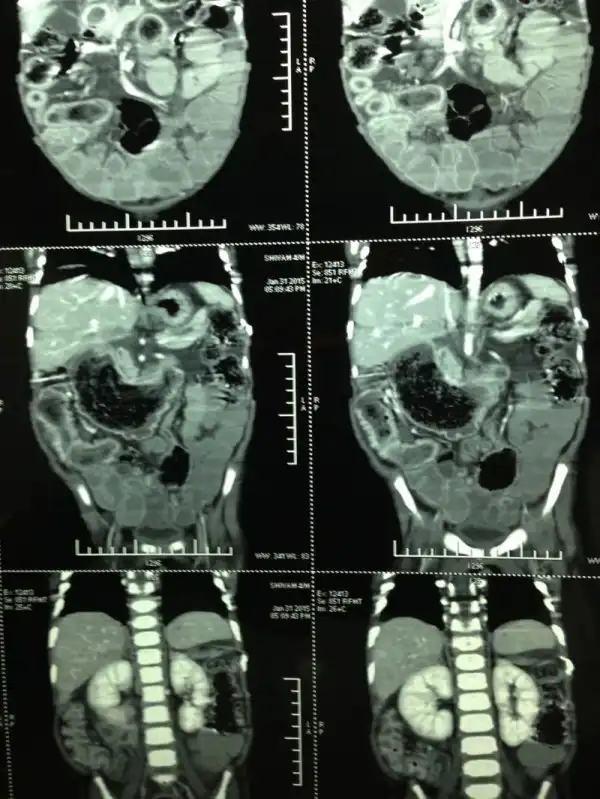
Хирурги вытащили из живота четырехлетнего малыша метровую шевелюру
Индийский мальчуган Сивам Кумар ел собственные волосы на протяжении девяти месяцев. Это привело к тому, что он больше не смог вообще ничего съесть, так как в пищеварительном тракте образовалась пробка. В результате операции из пацана достали метровый кусок сплетенных волос. Чтобы прецедент не повторился, малого побрили налысо.












