Девочка родилась дважды с разницей в 3 месяца. Как это возможно?
«Второй раз родился» — так обычно говорят, когда происходит что-то очень плохое, а человеку чудом удается спастись. Однако в мире живут люди, которые родились во второй раз не только в переносном смысле, но и в самом что ни на есть буквальном. Примером может послужить случай с Линли Хоуп, которая дважды родилась в 2016 году с разницей в 3 месяца.
Малышка ЛинЛи вскоре после второго рождения
Эта драматичная история началась с того, что будущая мама Маргарет Бомер, ожидающая уже третьего ребенка на 16-неделе беременности, отправилась на плановое УЗИ.
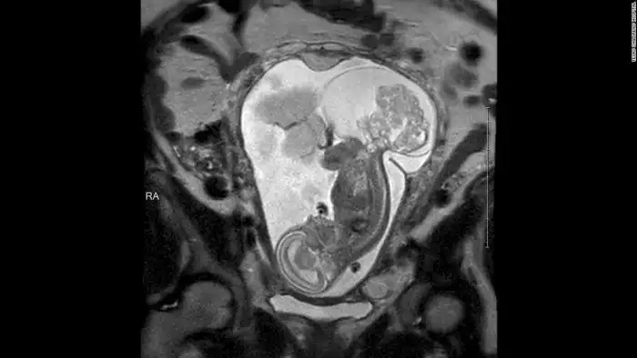
Закончив обследование, обеспокоенный врач сообщил, что у ребенка быстро развивающаяся крестцово-копчиковая тератома — редкий вид опухоли, встречающийся только у одного из 35 000 - 45 000 новорожденных.
На двадцать третьей неделе беременности опухоль разрослась настолько, что уже стала угрожать жизни и ребенка. Дело в том, что по мере роста опухоли, той требуется все более обильное кровоснабжение, а сердце еще неродившегося малыша с такой работой не справляется, из-за этого плод умирает.
На снимке видна опухоль, угрожающая жизни Линли.
Большинство врачей сходились во мнении, о необходимости прерывания беременности, при этом ребенок однозначно должен был погибнуть. Однако доктор Даррелл Касс, доцент кафедры хирургии, педиатрии, акушерства и гинекологии в медицинском колледже Бейлора предложил еще один вариант — очень рискованный, но дающий ребенку шансы на выживание, хоть и очень небольшие: провести операцию на плоде.
Хирурги вскрыли матку матери и прооперировали ребенка, удалив большую часть опухоли, после чего вернули плод в утробу и зашили. Во время операции сердце малышки останавливалось, но команде врачей удалось запустить его вновь, также потребовалось и переливание крови. Сложнейшая операция длилась более 5 часов.
После перенесенной операции до конца беременности женщина находилась на постельном режиме под пристальным наблюдением врачей. Так ей удалось вынашивать Линли еще 12 недель — малышка родилась во второй раз на 36-й неделе с помощью кесарева сечения.
Доктор Олуинка Олутойе проводивший операцию по удалению опухоли
После рождения девочку ждало еще одно испытание: на 8-й день ей сделали еще одну операцию, во время нее хирурги удалили те участки опухоли, до которых не смогли добраться в первый раз. Через несколько недель Линли полностью поправилась и была выписана домой.















