Для того, что бы быть чиновником вовсе не обязательно иметь мозг...
Для того, что бы быть государственным служащим (чиновником) вовсе не обязательно иметь мозг. По крайней мере во Франции. Этот тезис блестяще, но невольно доказал гражданин «третьей республики» - Матье Перрез. В 2007 году МРТ (магнитно-резонансное) исследование головного мозга француза показало, что его (мозга) у Матье …нет.
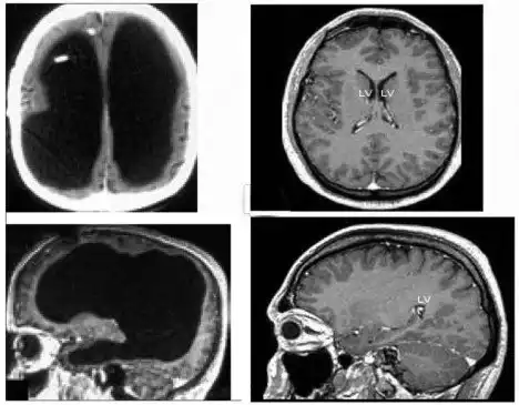
На изображении: слева МРТ Матье, справа для примера, МРТ нормального головного мозга
В возрасте 44 лет Матье обратился в клинику города Марселя с болями невыясненного генеза левой нижней конечности. Но врачи не смогли обнаружить причину болей и было принято решение всестороннего обследования организма. И вот тогда настал черед удивления медицинской общественности, потому что при КТ-сканировании головного мозга выяснилось, что он отсутствует на 75-80% от нормального объема для взрослого человека. При дальнейшем МРТ исследовании эти данные подтвердились. Причем если бы Матье не беспокоили боли в ноге, ни он, ни его окружающие ничего бы и не знали об этом удивительном феномене.
Отсутствие 4/5 головного мозга совершенно не помешало французу занимать пост государственного чиновника в одном из муниципальных учреждений, жениться, быть хорошим отцом двух детей (у которых, к слову, обследования не выявили патологий головного мозга) и вести вполне обычную социальную жизнь. Да, он не гений, IQ Матье – 75 пунктов, но этого вполне хватает для того, что бы счастливо жить вот уже полвека.
Лайонеэл Филье, нейрохирург, наблюдающий за Матье, поведал, что когда он и его команда изучили историю болезни пациента, выяснилось, что в возрасте 2-х лет у француза была диагностирована гидроцефалия (заболевание, при котором в в полости черепа скапливается спинномозговой ликвор). Ему был установлен специальный шунт, для сброса жидкости, но т.к. 50 лет назад не существовало надежных интсрументальных методов контроля за эффективностью отведения жидкости, то естественно при стихании симптоматики последним фактом и удовлетворились. Матье проходил с шунтом до семилетнего возраста, и затем шунт был удален. Однако жидкость продолжала накапливаться, и поэтому вещество головного мозга подвергалось медленной, но постоянной тампонаде. У взрослого человека этот процесс неминуемо привел бы к необратимым психо-органическим последствиям, но пластичный (во всех смыслах) мозг ребенка сумел приспособиться и занимая даже 1/5 от положенного ему объема в черепной коробке, все равно квазинормально развился, ничем не выдавая своих необычных свойств.
Сейчас Матье единственный человек в мире с подобной патологией, живущий столько лет, и по всей видимости, ему это абсолютно не мешает жить полноценной жизнью.











