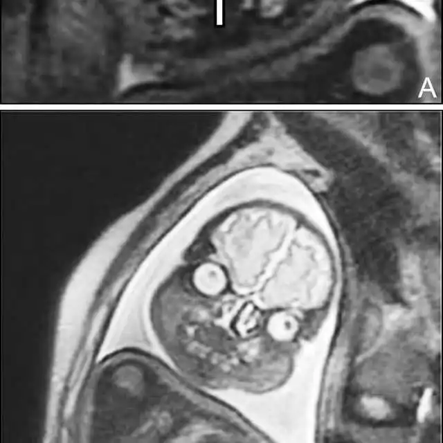
"Поздравляем, у вас демон": жуткий МРТ-снимок беременной женщины
Всегда подмечал в голливудских фильмах такое клише: беременной девушке делают УЗИ, а потом показывают матери и отцу эмбриончик, после чего все начинают умиляться, охать и обниматься, несмотря на то, что на экране по сути ничего не видно. В которой раз можно убедиться в том, что в мелодрамах правды нет. Это подтверждают жуткие МРТ-снимки беременной женщины из реальной жизни. Честно скажу, мне это сегодня приснится. Впечатлительным я бы рекомендовал не смотреть.

















