Если сердце это мышца, то почему оно не устает как мышцы рук и ног?
Сердце – полый орган, практически целиком состоящий из мышечной ткани. Сердце начинает сокращаться с третьей недели развития эмбриона и заканчивает свою деятельность лишь к концу нашей жизни, не отдыхая при этом ни секунды.
Для скелетной мышечной ткани такая деятельность была бы непосильной задачей. Как миокарду удается сохранять постоянную работоспособность? Что произойдет, если все мышцы в теле заменить не устающей сердечной мышцей? На какое количество ударов рассчитан орган и можно ли его истощить с помощью нагрузки?
Почему сердце не устает?
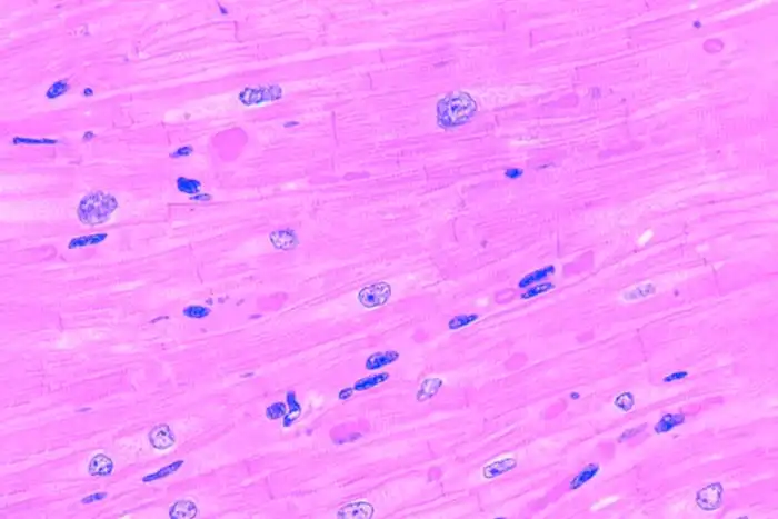
Сердечная мышца, называемая как миокард, отличается от скелетной и гладкой мускулатуры особым гистологическим строением – строением мышечных клеток.
Несмотря на то, что фибриллярные белки мышечной ткани у всех типов мышц похожи, с точки зрения энергетики, кардиомиоциты (клетки миокарда) содержат более высокую концентрацию митохондрий.
Митохондрия – это своеобразная энергетическая станция клетки. Именно здесь происходит преобразование питательных веществ в энергию, необходимую для жизнедеятельности клетки и всего организма.
Если в скелетной мускулатуре содержание митохондрий составляет всего 1-2% от объема клетки, то в кардиомиоцитах митохондрия занимает до 35% пространства.
Миокард – название мышечного среднего слоя сердца, составляющего основную часть его массы.
Другими словами, клетки сердечных мышц производят и потребляют в разы больше энергии, чем какие-то ни было другие клетки организма. Это основная причина, объясняющая устойчивость кардиомиоцитов к усталости.
В целом, сердце метаболически очень гибко. Источником энергии может быть не только глюкоза, но также свободные жирные кислоты и даже лактат (соль молочной кислоты).
Лактат – это главный виновник физической усталости. Он "забивает" мышцы и провоцирует знакомую нам боль после тяжелой физической нагрузки. В сердечных мышцах таких процессов не бывает.
Чтобы огромное количество митохондрий исправно работали, выделяли энергию и не "засорялись" молочной кислотой, им необходимо больше кислорода. К счастью, сердце окутано густой сетью капилляров, которые обеспечивают постоянный приток насыщенной кислородом крови. Это еще одна причина, которая объясняет удивительную работоспособность органа.
Таким образом, сердце не устает, потому что его мускулы отличаются по строению от других мышц. Они производят и потребляют больше энергии, получают больше кислорода и не подвержены скоплению лактата.
Если мышечная ткань сердца настолько работоспособна, то почему бы природе не сделать все мышцы похожими на миокард?
На самом деле, ничего хорошего от таких перемен не будет. Гистологическое строение сердца подразумевает облегченное распространение потенциала действия между кардиомиоцитами.
Это говорит о том, что строение преследует лишь одну цель – одновременное сокращение всех клеток для воспроизведения эффективного ритма.
Кроме того, кардиомиоциты имеют свойство самовозбуждаться. То есть они сокращаются без участия нервной системы. Блуждающий нерв лишь балансирует этот процесс, не позволяя сердцу биться слишком часто или наоборот, слишком редко. К слову, поэтому только что извлеченное сердце (например, при пересадке) продолжает биться. Из-за того что оно отрезано от нервов, орган бьется даже сильнее, чем обычно.
Кардиомиоциты – мышечные клетки сердца.
Представьте, как было бы неудобно, если бы скелетные мышцы начали работать без команды нервной системы, самопроизвольно.
Вероятно, природа могла бы решить этот вопрос. Однако, сердечные мышцы слишком энергозатратные. Скорость метаболизма сердечной ткани в 35 раз выше нормы по организму. Учитывая, что мышцы взрослого человека составляют от 30 до 60% от общей массы тела, то ежедневные энергетические потребности организма резко бы возросли. Вся жизнь бы состояла из поиска и приема пищи, без перерыва на сон.
Можно ли истощить сердце?
У сердца нет определенного лимита сокращений. Оно может сокращаться хоть 100, хоть 200 лет, если позволит здоровье.
Компьютерная модель работы сердца.
Истощить орган физическими нагрузками тоже нельзя. Напротив, силовые упражнения лишь укрепят его. Таким образом, повысится тонус блуждающего нерва и увеличится ударный объем (сердце сможет качать больше крови за один удар). Улучшится выносливость, снизится риск сердечных заболеваний.
Однако любая нагрузка бывает полезной только в умеренных объемах. Если возлагать на мышцы работу, превышающую их возможности, то можно нанести непоправимый ущерб своему сердцу. Могут появиться фиброз сердца, пролапс митрального клапана и другие опасные заболевания. "Посаженое" на тренировках сердце сломало ни одну спортивную карьеру.


















